TIPOS DE MATRIZ.
La matriz corresponde al tipo celular del cual se origina el tumor. Puede ser osteoide, condroide, fibroso, vascular, hematopoyético, adiposo, neural, etc. (3, 4, 12)
Los tumores pueden ser líticos, escleróticos o mixtos, dependiendo de la estimulación de los osteoblastos u osteoclastos, respectivamente. (4).
La opacidad de las lesiones depende de la composición y el grado de calcificación de su matriz. (4).
Lesiones como la displasia fibrosa, presentan un aumento uniforme de su densidad, dando el aspecto de vidrio esmerilado. Otros como el tumor de células gigantes, los fibromas, el hemangioma y quiste óseo aneurismático, se caracterizan por tener una trabeculación interna. (12).
CALCIFICACION DE LA MATRIZ.
Solo se identifica calcificación en la matriz ósea y cartilaginosa. (3, 4, 12, 13).
También pueden encontrarse calcificaciones en el tejido necrótico o degenerado, fracturas patológicas o reacción esclerótica del hueso. (3, 2).
Niveles líquido/líquido pueden identificarse en TAC y RM. Puede verse en un quiste óseo aneurismático, osteosarcoma telangiectásico, etc. (13).

Fig 33. Diagrama de calcificación de la matriz de tipo osteoide.
Distintos grados de calcificación osteoide, densa o algodonosa.

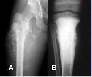
Fig 34. Matriz osteoide.
A y B: Rx AP. Calcificación osteoide de la matriz en patrón algodonoso y densa. (En marfíl).

Fig 35. Diagrama de calcificación de la matriz de tipo condroide.
Calcificaciones en comas, arcos, anillos y puntiforme, por origen condroide.

Fig 36. Matriz condroide.
A: Rx AP. Calcificaciones puntiformes y en coma, de un encondroma.
B: Rx AP y C: TAC axial. Calcificaciones en palomitas de maíz, por encondroma.
| Fecha de creación | Marzo 1 de 2011 |
| Fecha de actualización | Marzo 5, 2015 |