QUISTE OSEO ANEURISMATICO.
Lesión benigna de origen desconocido, compuesta por espacios quísticos llenos de sangre y separados por tejido óseo y cartilaginoso. (13).
Etiología similar al quiste óseo simple.
Aparece entre los 5 y 20 años, tiene localización central y en la metáfisis de los huesos largos y las vértebras. (13, 35). (Fig 140).
Inicialmente aparece área lítica bien definida, que aumenta rápidamente de tamaño. Posteriormente hay expansión ósea y se desarrollan imágenes en bombas de jabón, por la presencia de hueso maduro y la formación de septos. (Fig 141).También se encuentran niveles líquido/líquido por sangrado. (13, 18, 35). (Fig 142 y 143).
Hay realce del contraste en los septos internos. La presencia de componente sólido que realza, debe hacer sospechar una variante sólida o una lesión secundaria. (13, 35).
Debe diferenciarse del tumor de células gigantes, osteosarcoma telangiectásico y condrosarcoma. (13).

Fig 140. Quiste óseo aneurismático.
Mayor frecuencia entre los 5 y 20 años. Predominio en los huesos largos y las vértebras.
Lesión metafisiaria, de ubicación central.

Fig 141. Quiste óseo aneurismático.
Rx AP. Lesión expansiva en la metáfisis tibial, con aspecto en pompas de jabón, por quiste ose aneurismático.

Fig 142. Quiste óseo aneurismático.
A: Rx AP y B: RM coronal en T1. Lesión expansiva, radiolúcida y de comportamiento benigno, en la metafisis de la cabeza del peroné en un adolescente.
C: RM sagital en T2 y D: RM axial en STIR. Se identifican niveles líquido/líquido, por quiste óseo aneurismático.

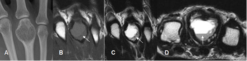
Fig 143. Quiste óseo aneurismático.
A: Rx AP. Lesión expansiva en la zona distal del metacarpiano, de comportamiento benigno.
B: RM coronal en T1, C: RM coronal en T2 y D: RM axial en T2. Imagen quística con nivel líquido/líquido, secundaria a quiste óseo aneurismático.
| Fecha de creación | Marzo 1 de 2011 |
| Fecha de actualización | Diciembre 13, 2011 |