NEUROFIBROMA.
Lesión central, originada de los fascículos nerviosos y sin formación de cápsula. (44).
También son mas comunes entre los 20 y 30 años. Se localizan en los nervios superficiales de la cara, el cuello y las extremidades y no se pueden separar de las fibras nerviosas. (45). (Fig 179 A).
Pueden ser solitarios o múltiples, asociados a neurofibromatosis. (NFM). (45). (Fig 179 B).
La neurofibromatosis fue descrita inicialmente por Von Recklinghausen y se divide en 2 formas. (36, 45).
Los hallazgos radiológicos son similares al schwanoma y son patologías difíciles de diferenciar por imágenes. (45). (Fig 180 a 183).
El neurofibroma plexiforme, muestra el aspecto de bolsa de gusanos. (45).

Fig 179 A. Neurofibroma.
Mayor frecuencia entre los 20 y 30 años. Lesión de tejidos blandos con predominio en la cara, el cuello, complejo VII-VIII par craneal y extremidades.

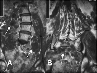
Fig 179 B. Neurofibromas múltiples.
A y B: RM coronal en T1. Múltiples imágenes ovaladas y de bordes bien definidos,
que corresponden a neurofibromas.

Fig 180. Neurofibroma.
A: RM sagital en T1. Lesión fusiforme central e isointensa al músculo, que presenta continuidad con el nervio ulnar.
B: RM sagital en T2 y C: RM coronal en STIR. Imagen heterogénea, con componente quístico central e hiperintenso en ambas secuencias.

Fig 181. Neurofibroma.
A: RM axial en T1. Lesión redondeada, de bordes bien definidos e isointensa al músculo.
B: RM axial y C: RM sagital en T1 con contraste. La imagen realza con el contraste, con zona central hipointensa, por fibrosis. Tiene continuidad central con un nervio superficial de la pierna y corresponde a neurofibroma.

Fig 182. Neurofibroma plexiforme.
A: RM axial en T1 simple y B: RM axial en T1 con contraste. Cambios PostQx por neurofibroma plexiforme. Hay alteración en la configuración de la fosa subtemporal, región mastoidea y CAI. (Flechas gruesas). Persistencia de tejido blando sobre el arco cigomático, que realza con el contraste, por tumor residual. (Flechas delgadas).

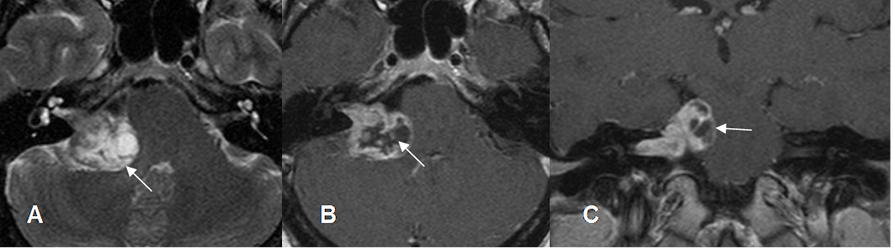
Fig 183. Neurofibroma acústico.
A: RM axial en T2. Lesión heterogénea en el ángulo pontocerebeloso, con extensión al CAI.
B: RM axial en T1 y C: RM coronal en T1 con contraste. La imagen realza de forma periférica, correspondiendo a un neurinoma del complejo VII-VIII par.
| Fecha de creación | Marzo 1 de 2011 |
| Fecha de actualización | Abril 5, 2015 |