LIPOMA.
Es el tumor de tejidos blandos mas frecuente. (9, 36).
No está claro si corresponde a un tumor benigno, una hiperplasia de células grasas o ambos. (42).
Son mas frecuentes entre la 5º y 7º décadas. (42).
Pueden ser solitarios o múltiples. Los superficiales abundan en la espalda, el cuello y la parte proximal de las extremidades (Hombro). Los profundo aparecen en las extremidades inferiores y puede ser intra o intermuscular. (9, 36, 42). (Fig 157).
Generalmente son asintomáticos y tiene un crecimiento lento, que se estabiliza en el tiempo y se pueden diagnosticar clínicamente. (9, 42).
La Rx es normal en lesiones pequeñas o mostrar efecto de masa, con densidad de grasa. (Fig 157 A). Es rara la calcificación y el compromiso óseo. (36, 42). (Fig 158 y 163).
En la ecografía se aprecia como una imagen ovalada y bien definida, iso o hiperecoica con relación a la grasa subcutánea, múltiples estriaciones lineales y con eje mayor paralelo a la piel. (9). (Fig 159).
En la TAC y RM son imágenes bien definidas, con densidad negativa (-65 a -120 UH), señal similar a la grasa y sin realce con el contraste. Muestran una cápsula fibrosa periférica, similar al músculo en TAC e hipointensas en todas las secuencias de RM.
(36, 42). (Fig 160 a 163).
Puede tener componente mesenquimal, con septos delgados menores de 2 mm, que se conoce como fibrolipoma. Su imagen es densa en TAC e hipointensa en RM. (36). (Fig 164 y 165).
Algunos lipomas subcutáneos no son encapsulados, lo que dificulta su detección. Por esto se aconseja colocar un marcador, en la región de interés. (42). (Fig 166 A).
La presencia de septos gruesos mayores de 2 mm, que realzan con el contraste y tejido globular no adiposo, deben alertar sobre la presencia de un liposarcoma bien diferenciado. La imagenología no puede diferenciarlo y se requiere de estudio histológico. (42). (Fig 166 B y C).

Fig 157. Lipoma.
Mayor frecuencia entre la 5º y 7º década. Lesión de tejidos blandos con predominio en extremidades, espalda y hombros.

Fig 157 A. Lipoma.
A: Rx AP y B. RM coronal en STIR. Prominencia de tos tejidos blandos hacia la parte lateral del antebrazo, con imagen ovalada y con densidad de grasa, similar al tejido celular subcutáneo, que corresponde a lipoma.

Fig 158. Lipoma.
A: Rx AP y B: Ecografía. Masa de tejidos blandos en la región deltoidea, con imagen sólida, bien definida e isoecoica por lipoma.

Fig 159. Lipoma.
A, B y C: Ecografías. Diferente espectro de presentación del lipoma. Imágenes ovaladas isoecoica, hipoecoica o hiperecoica.

Fig 160. Lipoma.
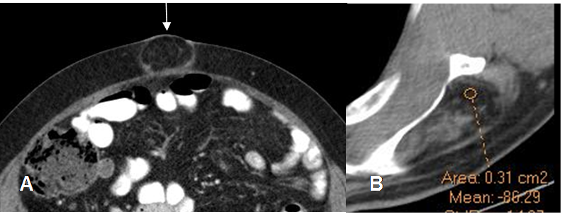
A: TAC axial. Imagen redondeada e hipodensa en la pared abdominal, con densidad similar a la grasa, por lipoma.
B: TAC axial. Lipoma en el músculo infraespinoso, con densidad negativa. (-80 UH).

Fig 161. Lipoma.
A: RM axial en T1, B: RM axial en T2 y C: RM axial en STIR. Lesión ovalada y encapsulada en la parte interna del pie, hiperintensa en T1 y T2 y que suprime en STIR, que corresponde a lipoma.

Fig 163 A. Lipoma.
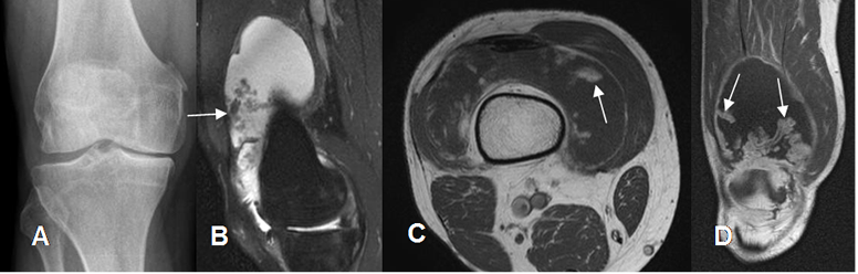
A: Rx AP y B: RM coronal en T1 y C: RM coronal en STIR. Gran prominencia en los tejidos blandos de la parte lateral de la rodilla, por tejido graso que corresponde a lipoma no encapsulado.

Fig 163 B. Lipoma arborescente.
A: Rx AP. No se encuentran alteraciones.
B: RM sagital en STIR. Abundante derrame articular, con proliferación sinovial hipointensa.
C: RM axial en T1 y D: RM coronal en T1 con contraste. La proliferación sinovial sigue la señal de la grasa subcutánea y realza con el contraste, por lipoma arborescente.

Fig 164. Fibrolipoma.
A: Rx de abdomen. Gran prominencia en la pared abdominal izquierda.
B: TAC reconstrucción coronal. Masa con densidad de grasa, por lipoma. Presenta algunas zonas densas, por contenido fibroso.

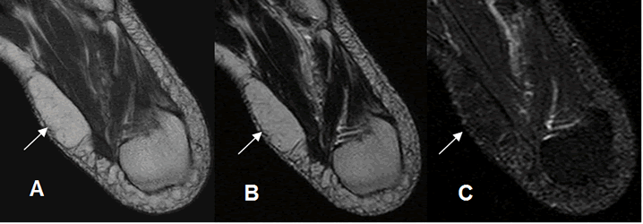
Fig 165. Fibrolipoma.
A: RM axial en T1, B: RM coronal en T1 y C: RM coronal en STIR. Lesión hiperintensa dentro del músculo biceps femoral. Su señal no es completamente hiperintensa, por algún componente fibroso y no suprime totalmente en el STIR.

Fig 166 A. Lipomatosis.
A: RM axial en T, B: RM axial en T2 y C: RM sagital en STIR. Incremento difuso de la grasa, no encapsulado y localizado con marcador, que corresponde lipomatosis.

Fig 166 B. Liposarcoma bien diferenciado.
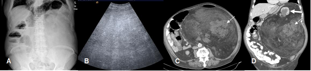
A: Rx AP. Efecto de masa en el hemiabdomen izquierdo, que desplaza las asas.
B: Ecografía. Lesión heterogénea y de consistencia sólida.
C: TAC axial y D: TAC reconstrucción coronal. Gran masa retroperitoneal, con densidad de predominio graso. Se encuentran imágenes redondeadas y mas densas, por tejido fibroso. (Flechas delgadas). Desplazamiento y mal-rotación del riñón izquierdo, el cual está dilatado por compresión del uréter. (Flecha gruesa).

Fig 166 C. Liposarcoma bien diferenciado.
A: RM coronal en T1 y B: RM coronal en T2. Imagen ovalada y de bordes bien definidos en la parte medial del muslo, que sigue la señal de la grasa.
C: RM coronal en STIR No hay completa supresión de la señal en esta secuencia y corresponde a un liposarcoma bien diferenciado.
| Fecha de creación | Marzo 1 de 2011 |
| Fecha de actualización | Abril 5, 2015 |