HEMANGIOMA.
Son tumores benignos, compuesto por múltiples vasos anormales dilatados. Hay proliferación de otros tejidos, pero el adiposo es el mas abundante. (40).
Es la masa de tejidos blandos mas frecuentes en los niños y pueden ser superficiales o profundos. (9). (Fig 144).
Histológicamente se clasifica en hemangioma capilar, hemangioma cavernoso, malformación ateriovenosa (MAV) y angioma venoso. (40).
En los hemangiomas de tejidos blandos, se pueden encontrar flebolitos en la Rx.
Con la ecografía se encuentran imágenes heterogéneas, de bordes mal definidos, con canales en su interior que corresponden a vasos dilatados y áreas ecogénicas por flebolitos o contenido graso. Son lesiones muy vascularizadas en el análisis doppler. (9). (Fig 145 a 148).

Fig 144. Hemangioma de tejidos blandos.
Mayor frecuencia en niños. Predominio en tejidos superficiales.
Fig 145. Hemangioma.
A: Rx oblicua. Presencia de flebolito entre el 3º y 4º metatarsianos.
B: RM axial en T1, C: RM axial en T2 y D: RM axial en STIR. Lesión de tejidos blandos que reemplaza la grasa y rodea el 2º, 3º y 4º metatarsianos. Es hipointensa en T1, hiperintensa en T2 y STIR y la presencia de flebolito, sugiere un hemangioma.

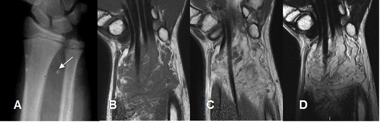
Fig 146. Hemangioma.
A: Rx AP. Prominencia de tejidos blandos en el antebrazo distal, con presencia de flebolito.
B: RM coronal en T1 simple, C: RM coronal en T1 con contraste y D: RM coronal en T2. Lesión de tejidos blandos compuesta por vasos dilatados, hipointensos en T1, hiperintensos en T2 y que realzan con el contraste, por hemangioma.
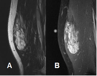
Fig 147. Hemangioma.
A: RM sagital en T2 y B: RM sagital en STIR. Imágenes serpentiginosas que corresponden a vasos dilatados, hiperintensos en ambas secuencias, en la parte anterior del muslo, por hemangioma.
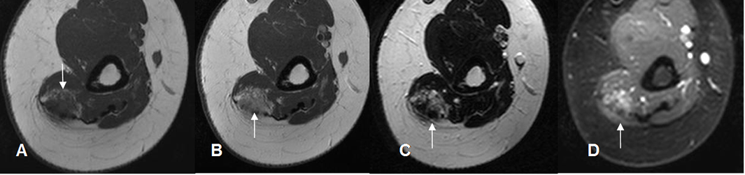
Fig 148. Hemangioma
A: RM axial en T1 Simple y B: RM axial en T1 con contraste. Lesión hipointensa de tejidos blandos en la parte posterior del brazo. Presenta zona hiperintensa anterior, por contenido graso o sangrado subagudo y que realza con el contraste.
C: RM axial en T2 y D: RM axial en STIR. Lesión hiperintensa, con áreas hipointensas (Flechas), por el contenido de hemosiderina.

Fig 149. Hemangioma.
A: Ecografía. Imagen heterogénea de bordes parcialmente definidos.
B: Ecografía doppler: Lesión muy vascularizada y con vasos dilatados, que corresponde a hemangioma.
Los hemangiomas óseos son frecuentes entre la 4º y 5º décadas. (18, 40).
La mayoría son asintomáticos y comprometen la columna y el cráneo. Los hemangiomas con poco contenido graso, son los mas sintomáticos. (40).
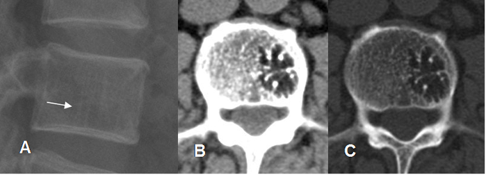
El compromiso vertebral es muy frecuente y en ocasiones múltiple. Son mas comunes en los cuerpos dorsolumbares (13). (Fig 149 A).
Producen engrosamiento de la trabeculación vertical o patrón en panal de abejas en la Rx simple y puntos escleróticos rodeados por grasa en los cortes axiales de TAC. (13, 40, 41). (Fig 150 y 151).
En la RM la lesión es hiperintensa en T1 y de señal intermedia en T2, similar a la grasa subcutánea. Se pueden encontrar áreas hipointensas por fibrosis, alto flujo en los vasos dilatados o presencia de flebolitos. (40, 41). (Fig 152, 153 y 154).
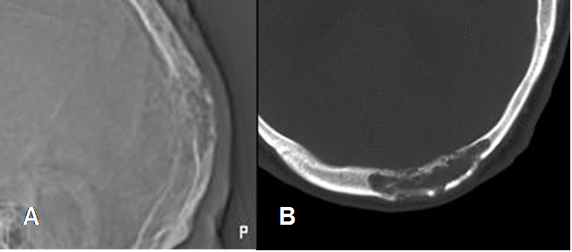
En el cráneo comprometen la tabla externa, de la región frontal o parietal. Presenta engrosamiento, con patrón de telaraña o rueda de carro. (3, 40). (Fig 155 y 156).
El óseo en los huesos largos tiene localización epifisometafisiaria y puede ser central o excéntrica. (18).
Produce una lesión lítica trabeculada, excéntrica y expansiva. Hay algunos hemangiomas intracorticales, que se deben diferenciar del osteoma osteoide. (18).

Fig 149 A. Hemangioma óseo.
Mayor frecuencia entre la 4º y 5º década. Predominio en el cráneo y columna.
Lesión metafisiaria, de ubicación excéntrica.

Fig 150. Hemangioma óseo.
A: Rx lateral, B: TAC axial en ventana de tejido y C: en ventana osea. Area radiolúcida con signo de la empalizada, secundario al engrosamiento de la trabeculación vertical y puntos escleróticos rodeados por grasa en el TAC, por hemangioma óseo.

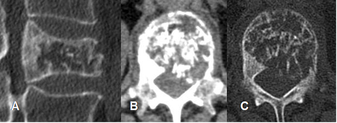
Fig 151. Hemangioma óseo.
A: TAC reconstrucción sagital, B: TAC axial en ventana de tejido y C: en ventana ósea. Fractura patológica de una vértebra lumbar afectada por un hemangioma, con fragmento retropulsado.

Fig 152. Hemangioma óseo.
A: RM sagital en T2, B: RM sagital en T1 simple y C: RM sagital en T1 con contraste.
Lesión hiperintensa en ambas secuencias. La parte superior en T1 es hipointensa y realza con el contraste. (Flechas).

Fig 153. Hemangiomas múltiples.
A: RM sagital en T1, B: RM sagital en T2 y C: RM sagital en STIR. Múltiples hemangiomas vertebrales y en el sacro, que suprimen en el STIR.

Fig 154. Hemangiomas sintomáticos.
A: RM sagital en T1, B: RM sagital en T2 y C: RM sagital en STIR. Hemangiomas vertebrales hiperintensos en T1 y T2, que no suprimen en STIR, por componente inflamatorio asociado.

Fig 155. Hemangioma óseo.
A: Rx lateral y B: TAC axial. Lesión permeativa que expande y compromete ambas tablas óseas.

Fig 156. Hemangioma óseo.
A: Rx lateral y B: TAC axial. Lesión radiolúcida y de contornos definidos y no escleróticos.
C: RM axial en T1 y D: RM axial en T2. Esta lesión es hiperintensa en ambas secuencias y corresponde a un hemangioma.
| Fecha de creación | Marzo 1 de 2011 |
| Fecha de actualización | Abril 5, 2015 |