SARCOMA PLEOMORFICO INDIFERENCIADO. (SPI).
Conocido en la anterior clasificación como Histiocitoma fibroso maligno (HFM).
Es el sarcoma de tejidos blandos mas frecuente en los adultos. Puede ser primario o secundario a radioterapia, osteonecrosis, cirugía, etc. (23, 26, 27).
Se origina de tejido fibroso e histiocitos, aparece entre los 50 y 70 años y tiene predominio por las extremidades inferiores y el retroperitoneo. (23, 26, 27). (Fig 108).
Se caracteriza por una masa dolorosa, profunda y entre 5 y 10 cm de longitud. (26).
Produce una lesión no encapsulada que compromete los músculos profundos e infiltra estructuras vecinas. Puede ocasionar erosión o infiltración de la cortical, en el hueso adyacente. (27)
La Rx simple puede ser normal o mostrar masa de tejidos blandos, que puede presentar calcificaciones lineales o puntiformes y debe diferenciarse de la miositis osificante. También se puede encontrar erosión ósea. (26, 27). (Fig 109).
En TAC hay masa lobulada de tejidos blandos parcialmente definida, con área hipodensa central por necrosis o tejido mixoide. Puede infiltrar estructuras, invadir compartimientos y encontrar signos de sangrado. (27).
En RM se identifica una gran masa intramuscular, sin contenido de grasa. Su señal es intermedia en T1 e hiperintensa y heterogénea en T2. La señal en T2 es variable y depende del grado de fibrosis, celularidad, contenido de agua, necrosis, sangrado, etc. (Fig 109).
Tiene bordes parcialmente definidos por la formación de una seudocápsula, hipointensa en todas las secuencias. (26, 27). (Fig 110 A).
El sangrado es frecuente en este tipo de tumor, siendo hiperintenso en T1 y T2 y en algunos casos se identifica nivel líquido/líquido. (26, 27). (Fig 110 B).
Con el contraste muestra realce, de predominio periférico y de las porciones sólidas. (26, 27). (Fig 110 C).
El SPI óseo primario, se originan de hueso anormal como enfermedad de Paget, osteonecrosis, radioterapia, fibroma no osificante, encondroma, displasia fibrosa, osteomielitis crónica, etc. (27).
Muestra un pico en la 4º década y tiene predominio en el esqueleto axial y rodeando la rodilla. (27).
Es una lesión metafisiaria de características agresivas en todas las modalidades, sin reacción perióstica y debe diferenciarse del tumor de células gigantes. (27).

Fig 108. Sarcoma pleomórfico indiferenciado.
Mayor frecuencia entre los 50 y 70 años. Predominio en los tejidos blandos de los
miembros inferiores y el retroperitoneo.

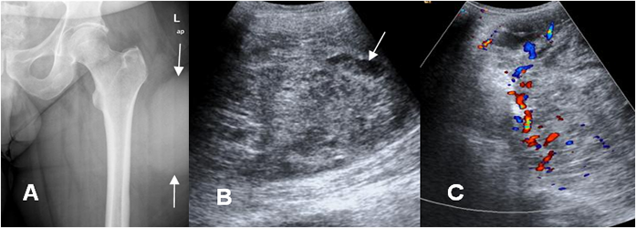
Fig 109. Sarcoma pleomórfico indiferenciado.
A: Rx AP. Prominencia de los tejidos blandos, en la parte lateral del muslo, sin lesión ósea asociada.
B: Ecografía y C: Ecografía doppler. Se aprecia gran masa de tejidos blandos de ecogenicidad heterogénea, de predominio sólido, con algunas áreas quísticas y muy vascularizada en el estudio doppler.
Fig 110 A. Sarcoma pleomórfico indiferenciado.
A: RM axial en T1. Lesión hipointensa y heterogénea de tejidos blandos y crecimiento agresivo, en el compartimiento posterior de la pierna.
B: RM axial en T2. Imagen heterogénea con área de señal intermedia por contenido fibroso (Flecha delgada) y otra hiperintensa, por necrosis. (Flecha gruesa).

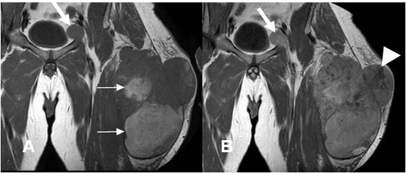
Fig 110 B. Sarcoma pleomórfico indiferenciado.
A y B: RM coronal en T2 y C: RM coronal en STIR. Igual paciente de la Fig 109. Lesión de tejidos blandos, de bordes definidos con una seudocápsula hipointensa (Puntas de flecha) y comportamiento agresivo. Muestra señal heterogénea de predominio hipointenso, con algunas zonas quísticas (Flechas delgadas) y adenopatía metastásica inguinal. (Flecha gruesa).

Fig 110 C. Sarcoma pleomórfico indiferenciado.
A: RM coronal en T1 simple y B: RM coronal en T1 con contraste. Igual paciente anterior. Lesión tumoral con zonas hiperintensas en la fase simple, por sangrado subagudo. (Flechas delgadas). Un gran porcentaje del tumor realza con el contraste, pero se identifican zonas hipointensas, por necrosis. (Punta de flecha). La adenopatía inguinal izquierda, también realza con el contraste. (Flecha gruesa).
| Fecha de creación | Marzo 1 de 2011 |
| Fecha de actualización | Abril 4, 2015 |