CONDROBLASTOMA.
Es un tumor raro, benigno y no agresivo, originado de condroblastos y que tiene predilección por el esqueleto en crecimiento. (13, 20).
Compromete las epífisis de los huesos largos, con predominio en la rodilla y tiene mayor frecuencia entre los 5 y 25 años, con pico a los 18. (20). (Fig 81).
Ocasiona una lesión geográfica, lítica, excéntrica y de borde escleróticos. Puede existir reacción perióstica y calcificación condroide de la matriz. (20). (Fig 82 y 83).
En RM se presenta como una lesión lítica, de características agresivas, con señal intermedia en T1, semejante al músculo e hipointensa o intermedia en T2, por la alta celularidad, la matriz condroide, calcificación y la presencia de hemosiderina. Además hay reacción perióstica, edema óseo y masa de tejidos blandos. (13, 20). (Fig 84).
Luego del manejo con resección o curetaje, hay alto grado de recurrencia. (13).

Fig 81. Condroblastoma.
Mayor frecuencia entre los 5 y 25 años. Predominio en los huesos largos.
Lesión epifisiaria, de ubicación excéntrica.
Fig 82. Condroblastoma.
A: Rx lateral y B: TAC axial. Lesión lítica y epifisiaria en la tibia proximal, con calcificaciones puntiformes de origen condroide, por condroblastoma.

Fig 83. Condroblastoma.
Rx AP. Lesión lítica y bien definida, con bordes escleróticos, en la metáfisis femoral, con calcificaciones de apariencia condroide, por condroblastoma.
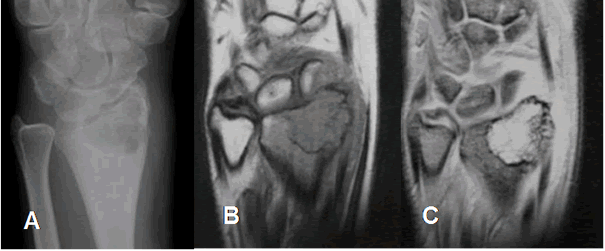
Fig 84. Condroblastoma.
A: Rx AP, B: RM coronal en T1 y C: RM coronal en GE. Lesión lítica en el radio distal, de crecimiento expansivo, pero sin ruptura de la cortical, ni masa de tejidos blandos, por condroblastoma.
| Fecha de creación | Marzo 1 de 2011 |
| Fecha de actualización | Diciembre 11, 2011 |