FRACTURA EN NIÑOS.
El esqueleto de los niños es fisiológica y bioquímicamente diferente al de los adultos. Por su crecimiento progresivo, las características del trauma en esta edad son únicas. (6).
Los huesos de los niños tienen mas plasticidad que los de los adultos, por tener un periostio grueso y el predominio de la matriz proteica, sobre las sales de calcio. Por este motivo, son mas frecuentes las fracturas diafisiarias incompletas.
Por otro parte la debilidad de la placa de crecimiento, en relación con la resistencia de los ligamentos y la cápsula, favorece las fracturas de la fisis. (1).
La mayoría de lesiones ocurren durante actividades deportivas, con caídas sobre la extremidad superior, siendo las fracturas de clavícula y supracondileas las lesiones mas comunes. (Fig 62).

Fig 62. Fractura de clavícula.
A: Rx AP. Fractura conminuta del tercio medio, con leve angulación superior.
B: Rx AP. Fractura cabalgada del tercio medio, con desplazamiento superior del extremo proximal y diastasis de la articulación acromioclavicular.
Aunque la Rx simple es la modalidad de primera línea, la TAC ha venido ganado importancia en la evaluación de estas fracturas complejas en los niños. (6).
Fracturas mas comunes: (1, 2, 3, 6).
Fig 63 A. Fractura en torus.
A: y B: Rx AP. Cortical “arrugada” en el tercio distal del radio, por fracturas en torus.

Fig 63 B. Fractura en torus.
A y B: Rx AP. Fractura en torus del radio distal. En la proyección de control, se identifica imagen densa en el lugar de la cicatrización.

Fig 64. Fractura en leño verde.
A: Rx AP y B: Rx lateral. Fractura en leño verde del cúbito distal. (Flechas delgadas). Adicionalmente hay fractura en torus del radio distal. (Flecha gruesa).

Fig 65. Fractura en leño verde.
A: Rx AP y B: Rx lateral. Fracturas en leño verde del radio y cúbito con rotación y angulación anterior y en valgo.

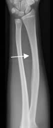
Fig 66. Deformidad plástica.
Rx AP. Presencia de curvatura lateral en la diáfisis del radio, por deformidad plástica.

Fig 67. Deformidad plástica.
Rx AP comparativa. Sutil desviación medial en la diáfisis del peroné, por deformidad plástica.
| Fecha de creación | Marzo 1 de 2011 |
| Fecha de actualización | Diciembre 16, 2014 |