MANEJO DE FRACTURAS.
Los principales objetivos del tratamiento de una fractura es estabilizarla, permitir la rápida movilización y conservar la función. (1, 8, 9, 10).
El paso inicial es reducir la fractura poniendo los extremos en contacto y evitando la angulación. Posteriormente se estabiliza para evitar el dolor, mantener la alineación y facilitar la formación del callo. (1, 9).
Los ortopedistas emplean una amplia variedad de fijaciones, en el tratamiento de las fracturas. La elección depende de las características de la lesión, su localización, las lesiones asociadas, el tipo de paciente, etc. (1, 11).
Hay 2 tipos principales de fijación de las fracturas: cerrado y abierto (9).
Reducción cerrada:
Tratamiento conservador que consiste en la reducción de la fractura mediante manipulación externa y su fijación con yeso o tracción continua. (1, 9, 10).
Es necesario el control posterior con Rx simple, para detectar cualquier desplazamiento. (1). (Fig 83 y 84).

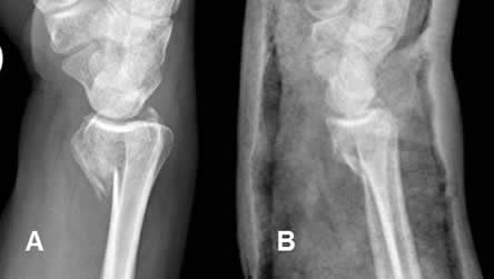
Fig 83. Reducción cerrada.
A: Rx lateral. Fractura del radio distal, con angulación anterior.
B: Rx lateral. Luego de la reducción, se estabiliza con yeso.

Reducción abierta:
Manejo quirúrgico donde después de la reducción, se utilizan materiales de fijación interna, externa o intramedular, para estabilizar y mantener la alineación de los
fragmentos óseos, durante el proceso de curación. (1, 10).
La compresión aumenta el contacto entre los extremos y permite la cicatrización. Esta puede ser estática (Se usa solo el material) o dinámica (Además del material, se aprovecha la fuerza muscular o el peso del cuerpo). (1, 10).

Fig 85. Cicatrización por primera intención.
Rx AP. Fractura espiroidea en la diáfisis humeral, estabilizada con clavo de enders. Hay incipiente formación de callo óseo, secundario a la cicatrización por primera intención.


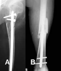
Fig 87. Callo perióstico.
A: Rx AP. Fractura de la tibia estabilizada con clavo de Kuntcher. Clínicamente está consolidada, pero persiste línea radiolúcida entre los extremos.
B: RM coronal en T1 y C: RM coronal en STIR. Callo óseo continuo, sin cambios inflamatorios.

Fig 88. Consolidación radiológica.
A: Rx AP. Fractura de la diáfisis femoral, estabilizada con clavo de Kuntcher.
B: Rx AP después de 18 meses. Adecuada consolidación, con formación de callo óseo compacto.
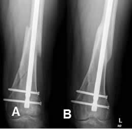
Fig 89. Tutor externo.
Rx AP. Fractura en la diáfisis tibial, con mucho compromiso de tejidos blandos y fijación con tutor externo.


Fig 91. Tutor externo circular.
Rx AP. Tutor externo utilizado para lograr el alargamiento de la extremidad.

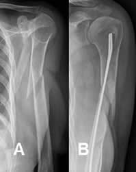
Fig 92. Clavo de Enders.
A: Rx AP. Fractura espiroidea y con angulación en valgo, de la diáfisis humeral.
B: Rx AP. Reducción abierta y fijación intramedular, con clavo de enders.


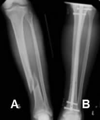
Fig 94. Clavo de Kuntcher.
A: Rx AP. Fractura espiroidea en la tibia distal.
B: Rx AP. Reducción anatómica y estabilización con clavo de Kuntcher.

TIPOS DE MATERIAL:

Fig 96. Diagrama de tornillos.
A: Tornillo de cortical, con rosca en toda su extensión.
B: Tornillo de esponjosa, sin rosca en su parte inicial.

Fig 97. Tornillos de cortical.
A: Rx AP: Fractura conminuta del fémur distal.
B: Rx AP. Fractura fijada con placa de compresión y tornillos de cortical. El foco principal de la fractura está atravesado por 2 tornillos y los extremos de los tornillos penetran en la cortical contralateral.

Fig 98. Tornillos de esponjosa.
A: Rx AP. Fractura espiroidea del fémur distal. Se encuentra tornillo de esponjosa en la tibia proximal (Solo roscado en la mitad distal), que fija fractura antigua.
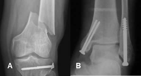
B: Fractura bimaleolar, fijada con tornillos de esponjosa.

Fig 99. Tornillos de esponjosa y de cortical.
Rx AP. Fractura bimaleolar. La del medial está fijada con tornillos de esponjosa y la del lateral, con placa y tornillos de cortical.


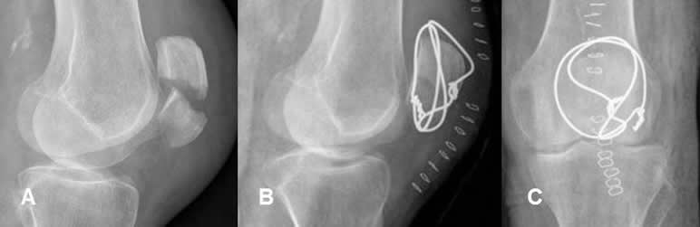
Fig 101. Cerclaje.
A: Rx lateral. Fractura transversa y con angulación anterior de la patela.
B: Rx lateral y C: Rx AP. Reducción de la fractura, mediante cerclaje con alambre.


Fig 103. Técnica combinada.
A: Rx AP y B: Rx lateral. Fractura del olécranon, estabilizada con agujas y alambres.

Fig 104. Grapas.
A y B: Rx AP. Grapas utilizadas para fijar el injerto del LCA.
En B se aprecia tornillo ubicado sobre el túnel femoral, que fija el injerto proximalmente.

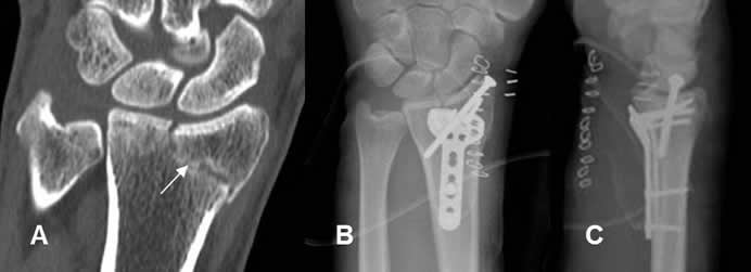
Fig 105. Fijación interna.
A: TAC reconstrucción coronal. Fractura de la estiloides radial no desplazada y con compromiso intra-articular.
B: Rx AP y C: Rx lateral. Fijación de la fractura con placa de compresión y tornillos.

Fig 106. Placa de compresión.
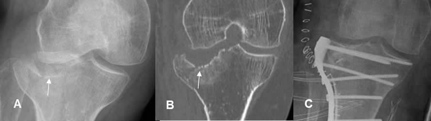
A: Rx AP y B: TAC reconstrucción coronal. Fractura deprimida y conminuta en el platillo tibial lateral.
C: Rx AP. Reducción abierta y fijación con placa de compresión y tornillos.

Fig 107. Injerto óseo.
A y B: TAC reconstrucción sagital y C: TAC axial. Fijación posterior con un fragmento del peroné, sobre los elementos posteriores de L2-L3 y L4.
| Fecha de creación | Marzo 1 de 2011 |
| Fecha de actualización | Enero 16, 2015 |