CURACIÓN DE LAS FRACTURAS.
Durante la cicatrización las fracturas, siguen varias fases: (1, 3).

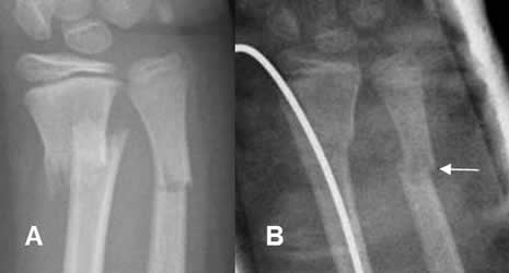
Fig 79. Inflamación.
A: Rx AP. Fractura cabalgada del radio distal y en leño verde del cúbito.
B: Rx AP. Reducción y fijación con clavo de la fractura del radio. Osteoporosis localizada en el foco de fractura del cúbito, por hiperemia.

Fig 80 A. Reparación.
A: Rx AP. Zona de esclerosis en el pubis derecho.
B: TAC reconstrucción coronal. Fractura no desplazada del pubis, con formación de callo óseo inmaduro.
C: TAC axial. Esclerosis del hueso, por el proceso de reparación.

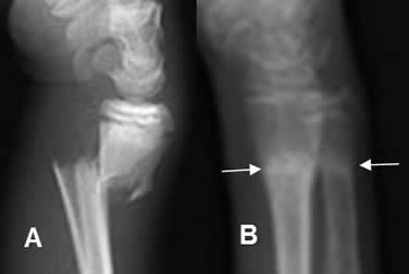
Fig 80 B. Reparación.
A: Rx lateral. Fracturas desplazadas del radio y cúbito distal, con angulación posterior de los fragmentos.
B: Rx lateral. Proyección 2 meses después. Osteoporosis por desuso. Adecuada reducción y alineación, con formación de callos óseos densos.

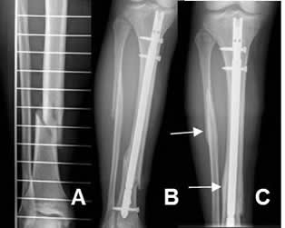
Fig 81. Remodelación.
A: Rx AP. Fracturas espiroideas del peroné y la tibia.
B: Rx AP. Reducción tibial con clavo de Kuntcher.
C: Rx AP. Después de 16 meses hay completa cicatrización, con formación de callo óseo compacto.
Durante el proceso de cicatrización influyen muchos factores, como: edad, estado nutricional, grado de inmovilización, vascularización y separación de los fragmentos, grado de conminución, infección, etc. (1).
Las fracturas intra-articulares consolidan menos, porque las fibrinolisinas del líquido sinovial dificultan la formación del hematoma y el hueso intra-articular no forma callo óseo. (1, 3). (Fig 82).

Fig 82. Fractura intra-articular.
A: Rx AP y B: RM coronal en T1. Fractura Salter tipo III, con compromiso intra-articular del radio distal. Adicionalmente hay fractura lineal del hueso grande. (Flecha gruesa).
| Fecha de creación | Marzo 1 de 2011 |
| Fecha de actualización | Diciembre 14, 2014 |