COMPLICACIONES DE LA FIJACIONES INTERNAS:

Fig 108. Consolidación retardada.
A: Rx AP. Fractura espiroidea en la tibia, que se manejó con reducción cerrada y estabilización con yeso.
B: Rx AP. En Rx control a los 4 meses, no hay formación de callo óseo. Los extremos no están en contacto y son escleróticos.

Fig 109. Desplazamiento del material.
A: Rx AP y B: TAC reconstrucción coronal. Fractura transversa y diastasada, en el tercio medio del escafoides.
C: Rx AP. Reducción cerrada con agujas. El extremo de una de ellas, tiene localización intra-articular.

Fig 110. Salida material.
A: Rx AP y B: Rx lateral. Clavo endomedular, fijando una fractura del fémur. Hay ruptura en el tornillo, el cual está desplazado inferiormente.

Fig 111. Salida material.
A: Rx AP. PostQx inmediato, con reducción anatómica de fractura en la falange media.
B: Rx lateral y C: Rx AP. Desplazamiento del clavo. No hay contacto entre los extremos y el clavo está por fuera del fragmento proximal.

Fig 112. Mala posición de tornillos.
A: Rx AP. Tornillo superior muy medializado y que cruza la línea media.
B: TAC axial. Tornillo izquierdo mal ubicado. Ocupa la región paramediana izquierda del canal y puede lesionar la raíz nerviosa.

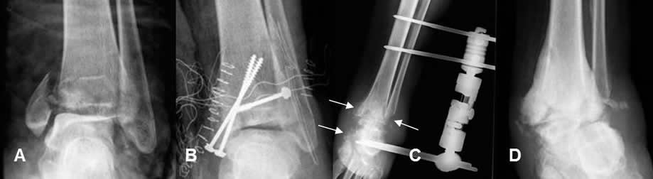
Fig 113 A. Infección del material.
A: Rx AP. Fractura desplazada del maleolo interno.
B: Rx AP. Reducción y fijación con tornillos.
C: Rx AP. Edema de tejidos blandos en el tobillo y osteolisis del calcáneo y ambos maleolos por osteomielitis, lo cual obliga a retirar el material y coloca tutor externo.
D: Rx AP. Como secuela queda artropatía neuropática hipertrófica y artrosis de la articulación.

Fig 113 B. Fístula de tejidos blandos.
A: Rx AP. Fístula cutánea en la parte lateral del muslo. Hay colocado material de osteosíntesis, por fractura previa de la cabeza femoral.
B: Fistulografía. El contraste se deposita en una cavidad cerrada sobre los tejidos blandos, sin comunicación con el hueso.

Fig 113 C. Osteomielitis.
A: Rx lateral. Canalización de fístula cutánea, con extremo del catéter por delante del material de osteosíntesis.
B: Fistulografía. El contraste se dirige posteriormente y se deposita en una cavidad, que está en contacto con el material endomedular, por osteomielitis secundaria.

Fig 114. Aflojamiento.
A: Rx AP. Aflojamiento de la prótesis, con un espacio mayor de 2 mm. Adicionalmente hay fractura en el tercio medio del vástago. (Flecha gruesa).
B: TAC reconstrucción coronal. Aflojamiento de la prótesis.

Fig 115. Mala posición del material.
A: Rx AP: Desplazamiento del tornillo de compresión, colocado en la cabeza femoral.
B: RM coronal en T1 y C: RM coronal en T2. Colección de tejidos blandos, hipointensa en T1 e hiperintensa en T2.
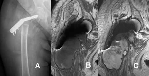
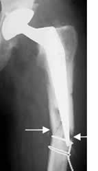
Fig 116. Fractura del material.
Rx AP. Extensa placa de compresión en el fémur. Está rota en su parte distal, con pérdida en la alineación de los fragmentos.


Fig 118. Fractura periprotésica.
Rx AP. Reemplazo de la cabeza femoral. Se identifican fractura compleja y no desplazada, en el tercio medio del fémur, sobre la parte inferior del material.

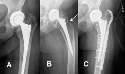
Fig 119. Fractura periprotésica.
A: Rx AP. Prótesis en la cabeza femoral.
B: Rx AP. Fractura oblicua y subtrocantérica, con angulación en varo.
C: Rx AP. Fijación de la nueva lesión con placa y cerclaje.

Fig 120. Zona debilitada.
A: Rx lateral y B: Rx AP. Callo óseo en la diáfisis tibial. En la tibia proximal hay una zona debilitada, por el retiro de los tornillos que fijaban un clavo de Kuntcher.

| Fecha de creación | Marzo 1 de 2011 |
| Fecha de actualización | Enero 16, 2015 |