VALORACION RADIOLOGICA.
Se aconseja iniciar la valoración con radiografía (Rx) simple. Con esta modalidad se pueden identificar lesiones focales, calcificaciones anormales, lesiones traumáticas, etc.
Realizar proyecciones AP y lateral, para el estudio del tobillo y AP y oblicua, para el pie. En casos especiales tomar proyecciones oblicuas o de stress, para aclarar lesiones dudosas o estudiar inestabilidad, por lesiones del LCL.
Estructuras óseas a tener en cuenta: Maléolo interno y maléolo externo, huesos del retropie (Calcáneo y talo o astrágalo), huesos del mediopie (Escafoides, cuboides, cuneiformes medial, medio y lateral) y huesos del antepie (Metatarsianos y falanges).
(Fig 4 A y B).
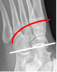
Las articulación tarsometatarsiana (Entre las cuñas/cuboides y los metatarsianos) es conocida como de Lisfranc y la mediocarpiana (Entre el calcáneo/talo y escafoides/cuboides), como de Chopart. (Fig 5).

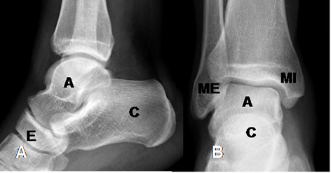
Fig 4 A. Tobillo normal.
A: Rx lateral y B: Rx AP. C: Calcáneo. A: Astrágalo o talo. E: Escafoides.
MI: Maléolo interno. ME: Maleolo externo.

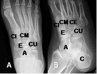
Fig 4 B. Pie normal.
A: Rx AP y B: Rx Oblicua. C: Calcáneo. A: Astrágalo o talo. E: Escafoides.
CU: Cuboides. CI: Cuña interna. CM: Cuña media y CE: Cuña externa.

Fig 5. Articulaciones del mediopié.
Rx oblicua. Articulación de Chopart: Línea blanca y de Lisfranc: Línea roja.
La ecografía se utiliza para la valoración de patología inflamatoria o traumática. Tiene la ventaja que es una modalidad barata, no invasiva, rápida, que permite el estudio comparativo y dinámico. (4).
La Resonancia Magnética (RM) es el estudio de elección, para la valoración del tobillo y el pie. Permite estudiar las estructuras óseas y los tejidos blandos, que incluyen músculos y tendones, ligamentos, nervios, espacio articular, etc.
Las secuencias deben incluir cortes axiales, sagitales y coronales. En el tobillo los cortes se orientan en relación con la mesa de examen y en el pie, en relación con el eje longitudinal de los metatarsianos. (1). (Fig 6 y 7).

Fig 6. Orientación de los cortes en el tobillo.
A: RM axial y B: RM coronal.

Fig 7. Orientación de los cortes en el pie.
A: RM coronal y B: RM axial.
Tener en cuenta que los cortes del tobillo, deben orientarse con el paciente en posición supino y con flexión plantar de 20 grados. Lo anterior busca visualizar mejor los tendones peroneos y el ligamento peroneocalcáneo y disminuir el efecto del ángulo mágico. (1).
Este efecto, produce aumento en la SI de un tendón normal en las secuencias con un TR corto, cuando forma un ángulo de 55º con el vector principal de magnetización. El tendón del músculo tibial posterior, es el más susceptible a este hallazgo. (1).
Los ligamentos son estructuras delgadas, con baja señal de intensidad (SI) en todas las secuencia de RM, adyacente a estructuras óseas y rodeados por grasa. (1). (Fig 8 a 17).
Aunque se identifican en todas las secuencias, las mejores para su valoración son:
Axiales: ligamentos tibioastragalinos y peroneoastragalinos anterior y posterior, ligamento tibioescafoideo y ligamento spring.
Coronales: ligamentos tibiocalcáneo y peroneocalcáneo.
En ecografía, los ligamentos son estructuras lineales e hipoecoicas, con un espesor menor a 2 mm. (4). (Fig 9 y 15).

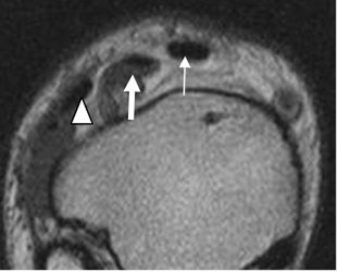
Fig 8. Ligamentos de la sindesmosis normal.
A y B: RM axial en T1. Ligamento tibioperoneo anterior (flecha delgada) y tibioperoneo posterior (flecha gruesa).

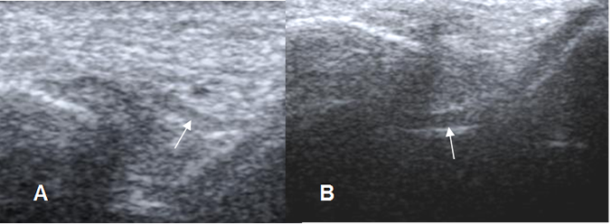
Fig 9. Ligamentos peroneoastragalinos normales en ecografía.
Ligamento peroneoastragalino anterior en A y peroneoastragalino posterior en B.

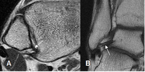
Fig 10. Ligamento peroneoastragalino anterior normal.
A: RM axial en T1 y B: RM coronal en T2.

Fig 11. Ligamento peroneoastragalino posterior normal.
A: RM axial en T1 y B: RM coronal en T1.

Fig 12. Ligamento peroneocalcáneo normal.
A: RM axial y B: RM coronal en T2.

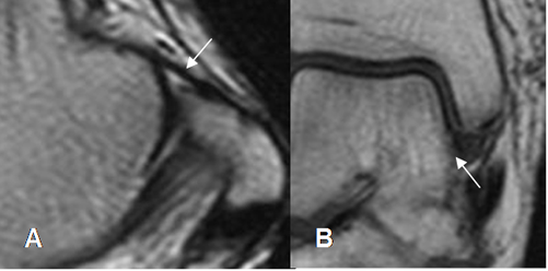
Fig 13. Ligamento tibioastragalino anterior normal.
A: RM axial en T2 y B: RM coronal en T1.

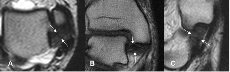
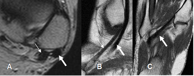
Fig 14. Ligamento tibioastragalino posterior normal.
A: RM axial en T2, B: RM coronal en T2 y C: RM sagital en T1.

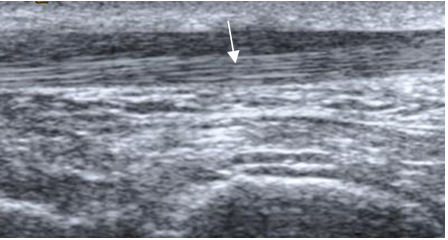
Fig 15. Ligamento tibiocalcáneo normal en ecografía, corte sagital.

Fig 16. Ligamento tibiocalcáneo normal.
A: RM axial y B: RM coronal en T1.

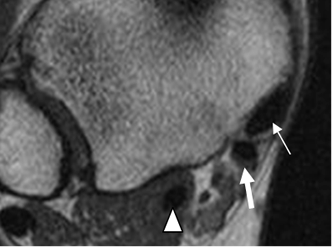
Fig 17. Ligamento calcaneoescafoideo.
A: RM axial en T1 y B: RM sagital en T2. Ligamento hipointenso normal, entre el escafoides y el calcáneo.
La estabilidad del retropie y formación del arco medial del pie, está dada por estabilizadores dinámicos y estáticos. El principal estabilizador dinámico es el tendón del tibial posterior y los estabilizadores estáticos incluyen el ligamento spring, fibras superficiales del ligamento deltoideo y la fascia plantar. (5).
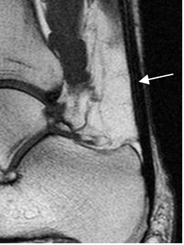
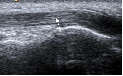
La fascia plantar se origina en la tuberosidad del calcáneo y divide en 3 ramas principales medial, central y lateral. La central se subdivide en 5 ramas, que se insertan en las falanges proximales de los dedos. Las ramas medial y lateral se insertan en las bases del 1º y 5º metatarsianos. (6). En secuencias sagitales y coronales, se aprecia como una estructura delgada e hipointensa, de 3 a 4 mm de espesor a nivel de su origen en el calcáneo. (1). (Fig 18, 19, 20 y 21).

Fig 18. Diagrama de la fascia plantar normal.
Se divide en ramas medial, central y lateral.

Fig 19. Fascia plantar normal.
A y B: RM axial en T1 y C: RM coronal en T1. Rama medial (Flecha delgada), central (Flecha gruesa) y lateral (Cabeza flecha).

Fig 20. Fascia plantar normal.
A: RM sagital en T2 y B: RM sagital en STIR. Estructura hipointensa en todas las secuencias.

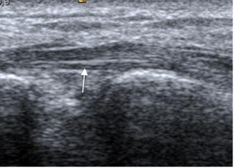
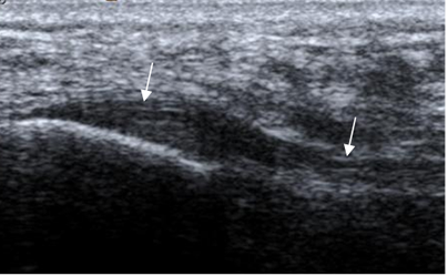
Fig 21. Fascia plantar normal en ecografía, corte sagital.
Los tendones también se aprecian como estructuras ovaladas, con baja SI en todas las secuencias. (1).
El tendón de Aquiles es el mas fuerte del cuerpo y está conformado por los músculos soleo, gastrognemio medial y lateral. Tiene una zona hipovascular entre 4 y 6 cm antes de su inserción, donde se produce la mayoría de lesiones. (2).
La parte anterior del tendón es plana o levemente cóncava, en los cortes axiales (2) y es mejor estudiado en las secuencias sagitales. (1). Presenta con algunas áreas con SI intermedia en T1 y DP, que corresponden a vasos o septos (2) y en ocasiones mínima cantidad de líquido se encuentra en la vaina del tendón, que no es clínicamente significativa. (1). (Fig 22, 23 y 24).

Fig 22. Tendón de aquiles normal en ecografía, corte sagital.
A: Tercio medio y B: En su inserción.

Fig 23. Tendón de aquiles normal.
A: Ecografía transversa y B: RM axial en T1. Estructura ovalada y homogénea, cóncava anteriormente. En RM hay zonas hiperintensas, que corresponden a septos.

Fig 24. Tendón de aquiles normal.
RM sagital en T1. Estructura lineal e hipointensa en todas las secuencias.
Los tendones peroneos ocupan el compartimiento lateral y cruzan por debajo y por detrás del maléolo externo. El breve tiene posición más anteromedial. Nemotecnia LL:
El largo es lateral. Pueden estar rodeados por líquido, debido a su comunicación con la articulación. (2). (Fig 25 y 26).

Fig 25. Tendones peroneos normales en ecografía, corte sagital.

Fig 26. Tendones normales del compartimiento lateral.
A: RM axial en T2 y B: RM sagital en T1. Peroneo corto (Flecha delgada) y peroneo largo (Flecha gruesa).
C: RM axial en T1. Peroneo largo insertándose en la base del 1 metatarsiano.
Para recordar la posición de los tendones del compartimiento posterior profundo, existe una nemotecnia: Tom, Dick y Harry, que corresponde al Tibial posterior, flexor largo de los Dedos y flexor largo del Hallux, de medial a lateral. El tibial posterior y flexor largo del hallux, también pueden estar rodeados por líquido. (2). (Fig 27 y 28).

Fig 27. Tendón tibial posterior normal en ecografía, corte sagital.

Fig 28. Tendones normales del compartimiento posterior.
RM axial en T1. Tibial posterior (Flecha delgada) Flexor largo de los dedos (Flecha gruesa) y flexor largo del hallux (Cabeza flecha).
El orden de los músculos del compartimiento anterior de medial a lateral es: Tibial anterior, extensor largo del hallux y extensor común de los dedos. (2). (Fig 29 y 30).

Fig 29. Tendón tibial anterior normal en ecografía, corte sagital.

Fig 30. Tendones normales del compartimiento anterior.
RM axial en T1. Tibial anterior (Flecha delgada), extensor largo del hallux (Flecha gruesa) y extensor largo de los dedos (Cabeza flecha).
| Fecha de creación | Marzo 1 de 2011 |
| Fecha de actualización | Noviembre 17, 2011 |