SINDROME DEL TUNEL DEL TARSO.
Se manifiesta con dolor y parestesia en la planta del pie y los dedos, por compresión del nervio tibial posterior o alguna de sus ramas plantares. (1, 21).
El síndrome es unilateral, al contrario del túnel del carpo, que clásicamente es bilateral. (1).
Hasta en la mitad de los casos, su etiología es desconocida y en el resto, puede estar asociada a hiperplasia sinovial, tenosinovitis, fibrosis post-trauma, tumores ( De origen neurogénico, gangliones, lipomas), varices, etc.
En la RM se identifica el factor causal que produce la compresión neural, por detrás del maléolo interno. (21). (Fig 118 y 119).

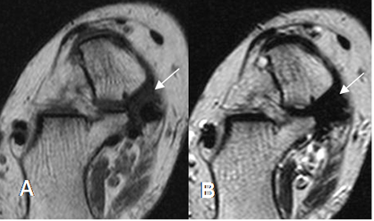
Fig 118 A. Sindrome del tarso.
A: RM axial en T1 y B: RM axial en T2. Tejido blando fibroso en la parte medial del pie, que rodea el tendón del tibial posterior y ocasiona sindrome del tarso.

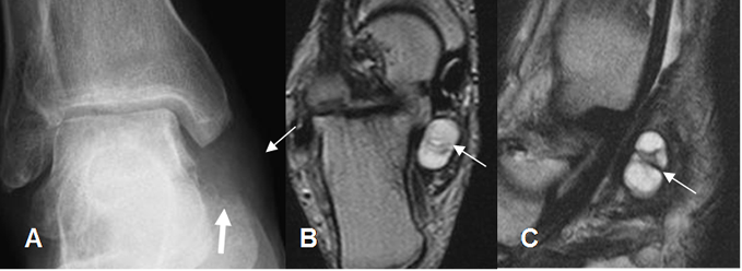
Fig 118 B. Síndrome del tarso.
A: Rx AP. Prominencia de tejidos blandos, por debajo del maléolo interno y que remodela en calcáneo. (Flecha gruesa).
B: RM axial y C: RM sagital en T2. Lesión ovalada, de consistencia líquida, en relación con el tendón del tibial posterior, que ocupa el seno del tarso y corresponde a ganglión.

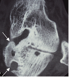
Fig 119 A. Síndrome del seno del tarso.
TAC axial. Cambios degenerativos con formación de osteofitos y puente óseo, en la parte medial de la articulación talocalcánea.

Fig 119 B. Sindrome del seno del tarso.
RM axial en T1. Cambios inflamatorios crónicos post- trauma, que reemplazan la grasa normal del espacio.
| Fecha de creación | Marzo 1 de 2011 |
| Fecha de actualización | Diciembre 3, 2014 |