TRAUMA DEL TALO Y LESIONES OSTEOCONDRALES.
Aunque no todas estas lesiones tienen antecedente de trauma, son una causa frecuente de dolor e inestabilidad, luego de un esguince. (8).
Un golpe en el borde medial o lateral del talo o sobre la plataforma tibial, pueden originar lesiones osteocondrales, que en ocasiones pasan desapercibidas a los Rx. (7).
Estas lesiones también son conocidas como fracturas transcondrales u osteocondritis disecante. (1).
Producen ruptura parcial o completa de un fragmento osteocondral, con o sin osteonecrosis asociada. (1).
Su localización mas frecuente, es el tercio medio del borde lateral y la parte posterior del borde medial. (1).
La RM es el estudio de elección para el diagnóstico, caracterización y determinar su estabilidad. La SI del fragmento es significante. Un fragmento hipointenso en todas las secuencias indica necrosis. Si el fragmento es hiperintenso en T1 o realza con el contraste, indica hueso viable. (1). (Fig 37 y 38).
La presencia de línea hiperintensa en T2, en la parte mas profunda de la lesión, es el principal signo de inestabilidad. (2, 8).
Fig 37. Lesión osteocondral.
A: Rx AP. Sutil imagen radiolúcida en la región superointerna del talo.
B: TAC axial y B: TAC reconstrucción sagital. Se confirma el defecto osteocondral
del talo.

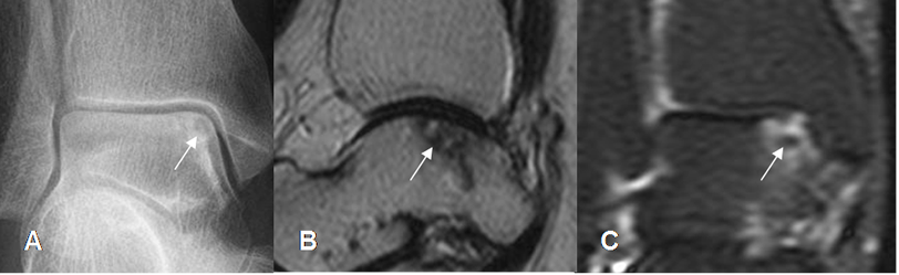
Fig 38. Lesión osteocondral.
A: Rx AP. Area radiolúcida en la parte superointerna del talo.
B: RM sagital en T2. Defecto hipointenso en la parte superior del talo, con algunas áreas hiperintensas.
C: RM coronal en STIR. Cambios inflamatorios en el talo, con zona hipointensa de necrosis.
Clasificación de las lesiones osteocondrales: (8).
Fig 39. Lesión osteocondral estado I.
A: Rx AP y B: RM axial en T1. Lesión por compresión de la parte
superointerna del talo.

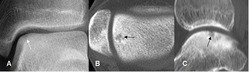
Fig 40. Lesión osteocondral estado III
A: Rx AP y B: RM coronal en STIR. Fragmento desprendido, pero no desplazado.
Fig 41. Lesión osteocondral estado IV.
A: TAC axial, B: TAC reconstrucción coronal y C: TAC reconstrucción sagital. Lesión osteocondral en la parte superoexterna del talo, con gran fragmento óseo desprendido.
| Fecha de creación | Marzo 1 de 2011 |
| Fecha de actualización | Noviembre 18, 2011 |