TRAUMA 5º METATARSIANO.
También llamada fractura de Jones o del bailarín. (2). Ocurre en la unión diafiso-metafisiaria, tiene sentido transverso y debe diferenciarse de la fractura por avulsión. (10) y de un núcleo de crecimiento en los niños. (Fig 50 A y B, 51 y 52).

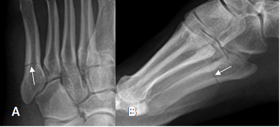
Fig 50 A. Fractura del 5º metatarsiano.
A: Rx oblicua y B: Rx lateral. Fractura transversa, lineal y no desplazada, en el tercio proximal del 5º metatarsiano.

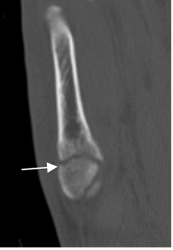
Fig 50 B. Fractura del 5º metatarsiano.
TAC reconstrucción coronal. Fractura no desplazada en el tercio proximal del 5º metatarsiano.

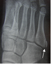
Fig 51. Núcleo de crecimiento.
Rx Oblicua. Núcleo de crecimiento en la base del 5º metatarsiano, de bordes escleróticos
y definidos, que no debe confundirse con fractura.
FRACTURA POR AVULSION.
Calcáneo: Aparece en la parte posterior y casi que exclusivamente en diabéticos, por osteopenia o cambios neuropáticos. (10).
De la cápsula: También en la región posterior, sobre su inserción tibial distal o en la parte anterior superior del talo. (10).
Del 5º metatarsiano: Ocurre en su base y es producida por una inversión forzada. Causa avulsión sobre la inserción de la aponeurosis plantar o del peroneo breve. (10).
(Fig 52 A y B).

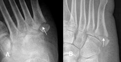
Fig 52 A. Avulsión del 5º metatarsiano.
A: Rx oblicua y B: Rx AP. Fractura no desplazada en la base del 5º metatarsiano, por avulsión no desplazada.

Fig 52 B. Avulsión del 5º metatarsiano.
A: Rx AP y B: RX oblicua. Fractura desplazada y con compromiso intra-articular, en la base del 5º metatarsiano, por avulsión desplazada.
| Fecha de creación | Marzo 1 de 2011 |
| Fecha de actualización | Diciembre 1, 2014 |