PIE DIABETICO.
En los pacientes diabéticos por múltiples factores vasculares y neuropáticos, existe una isquemia crónica y alteración en la sensibilidad, que facilitan la infección. (Fig 123).
Estos factores sumados a la deformidad, ocasionan la formación de callos y ulceras que se pueden sobreinfectar. (23).
Las infecciones son polimicrobianas, de difícil manejo y generalmente terminan con la amputación.
La RM ha mostrado alta sensibilidad para la detección y estadiaje de infecciones en este tipo de pacientes, incluyendo la celulitis, los abscesos y la osteomielitis. (5). (Fig 123, 124 A, B y 125).
Los callos se forman en los sitios de presión como 1º y 5º metatarsianos y el calcáneo y se identifican como lesiones hipointensas o de señal intermedia en T1 y T2, hiperintensas en STIR y realzan con el contraste. (23). Cuando se ulcera, se pierde la continuidad de la piel y el tejido subcutáneo.

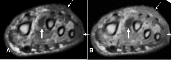
Fig 123. Cuerpo extraño.
A: RM axial en T2. Cambios inflamatorios en el tejido celular subcutáneo, el cual es hiperintenso en T2.
B: RM coronal y C: RM sagital en T1. Existe imagen lineal y alargada, hipointensa en todas las secuencias, que corresponde a cuerpo extraño, el cual desencadenó la infección.

Fig 124 A. Pie diabético. Celulitis.
A: RM coronal en T1 y B: RM coronal en STIR. Edema de tejidos blandos en el dorso del pie, por celulitis. No hay compromiso óseo.
Fig 124 B. Pie diabético. Absceso.
A: RM coronal en T1 y B: RM coronal en STIR. Cambios inflamatorios en la parte posterior del 2º metatarsiano, con formación de pequeño absceso.

Fig 125. Absceso de tejidos blandos.
A: TAC axial y B: TAC reconstrucción coronal. Edema de tejidos blandos, con burbuja de aire, por formación de absceso.
Es común encontrar edema de tejidos blandos en los diabéticos, pero eso no implica inflamación asociada. También se puede encontrar edema muscular por isquemia o atrofia, los cuales son hiperintensos en T2.
Ante la sospecha de celulitis, hipointensa en T1 e hiperintensa en T2, se debe administrar contraste. La celulitis realza y el edema no. (23). (Fig 125 A y B).
La utilización de contaste en los diabéticos es de mucha importancia, porque sirve para reconocer el tejido desvitalizado y hacer la planificación quirúrgica. (23). (Fig 125 C).

Fig 125 A. Celulitis.
A: RM axial en T1. Ausencia del 5º dedo, por amputación previa. Hay hipointensidad del tejido celular subcutáneo en el dorso y la parte externa del pie, por cambios inflamatorios. (Flechas delgadas).
B: RM axial en T1 con contraste. Existe realce luego de la administración del contraste, lo que indica celulitis. Adicionalmente hay colección líquida entre el 1º y 2º dedos. (Flecha gruesa).

Fig 125 B. Edema en pie diabético.
A: RM axial simple en T1 y B: RM axial en T1 con contraste. Cambios inflamatorios en el tejido celular subcutáneo del pie, hipointenso en T1. No hay realce con el contraste, por inflamación sin infección.

Fig 125 C. Pie diabético.
A: RM axial en T1 simple, B: RM axial en STIR y C: RM axial en T1 con contraste.
Pie diabético con cambios inflamatorios en los músculos plantares, hipointensos en T1 e hiperintensos en STIR. (Flechas delgadas). Con el contraste hay zona que no realza, sobre el 5º metatarsiano, por la presencia de tejido desvitalizado. (Flecha gruesa).
La osteomielitis del pie, generalmente se origina de infección en los tejidos blandos. (5).
Los cambios radiológicos aparecen luego de 2 semanas de la infección, con inflamación en los tejidos blandos, reacción perióstica y posteriormente destrucción ósea. (23). En la RM los cambios son mas precoces y se observa baja SI de la medula en T1, alta en T2 y STIR y realce, luego de la administración de contraste. (5). (Fig 126 y 127).
La presencia de tractos de fibrosis por donde drena material purulento, se asocia a osteomielitis o artritis séptica. Se identifican como imágenes lineales con señal de agua y cuyos bordes realzan con el contraste. (23). (Fig 128 A y B).

Fig 126 A. Pie diabético.
A: Rx AP y B: Rx oblicua del pie. Ausencia de las falanges del 4º y 5º dedo, por amputaciones previas. Calcificación en las paredes de los vasos, por angiopatía diabética. (Flechas).

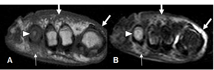
Fig 126 B. Pie diabético. Osteomielitis.
A: RM coronal en T1 y B: RM coronal en STIR. Osteomielitis del 4º metatarsiano hipointenso en T1 e hiperintenso en STIR (Punta de flecha), con cambios inflamatorios en los tejidos blandos. (Flechas delgadas). También hay cambios inflamatorios en el dorso del pie y sobre el 1º dedo. (Flechas gruesas).

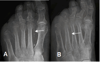
Fig 127 A. Osteomielitis.
A: Rx AP y B: Rx oblicua. Edema de tejidos blandos, con fístula cutánea en la parte externa. (Flechas delgadas). Ausencia del 5º metatarsiano y osteolisis del cuboides, la cuña lateral y las bases del 3º y 4º metatarsianos, por osteomielitis.

Fig 127 B. Osteomielitis.
A: RM coronal en T1, B: RM coronal en STIR y C: RM coronal en T1 con contraste. Igual paciente anterior. Cambios inflamatorios en los músculos y el tejido celular subcutáneo, sobre el medio pie. Los huesos cuboides, la cuña lateral y mitad inferior del 3º y 4º metatarsianos son hipointensos en T1, hiperintensos en STIR y realzan
con el contraste, por osteomielitis. Hay pequeña colección entre el 1º y 2º metatarsianos.

Fig 128 A. Osteomielitis del calcáneo.
A: TAC axial en ventana de tejido y B: en ventana de hueso. Cambios inflamatorios en los tejidos blandos (Flecha delgada), con orificio de fístula medial. (Flecha gruesa).
C: TAC reconstrucción coronal. Erosión del calcáneo, por osteomielitis. (Punta de flecha).

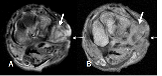
Fig 128 B. Fístula.
A: RM axial en T2 y B: RM axial en T1 con contraste. Defecto cutáneo en la parte externa del pie, que corresponde a úlcera. (Flechas delgadas). Los tejidos blandos adyacentes son hiperintensos en T2 y realzan con el contraste, por infección asociada. (Flechas gruesas).
| Fecha de creación | Marzo 1 de 2011 |
| Fecha de actualización | Diciembre 3, 2014 |