PATOLOGIA DEL AQUILES.
Según los hallazgos en RM, existe una clasificación propuesta por Weinstabi y colaboradores, para las lesiones de este tendón: (1).
La tendinopatía más común, es la degenerativa.
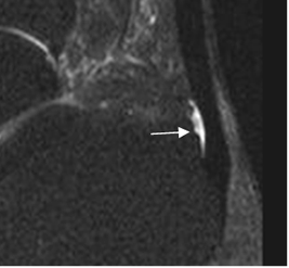
En la peritendinosis se aprecian cambios inflamatorios en la grasa pre-aquiliana, con un tendón de aspecto normal. (1). (Fig 79).
Con la tendinosis, se pierde la morfología normal en las secuencias axiales y sagitales de la zona hipovascular. El tendón adquiere una forma fusiforme, con borde convexo en la parte anterior. Se pueden encontrar zonas hiperintensa intrasustancia, por degeneración mucoide. (1,2). (Fig 80). En los casos crónicos hay calcificación a nivel de la inserción y engrosamiento de las fibras. (Fig 81, 82 y 83).

Fig 79. Peritendinosis del aquiles.
RM sagital en STIR: Tendón normal, con líquido en la bursa pre-aquiliana.

Fig 80. Tendinosis del aquiles.
A: RM axial en T2 y B: RM sagital en T2. Tendón engrosado, con borde anterior convexo e imagen hiperintensa intrasustancia por ruptura parcial o degeneración mucoide.

Fig 81. Tendinitis crónica del Aquiles.
A: Rx lateral. Calcificación sobre la inserción del tendón de Aquiles, por tendinitis crónica.
B: RM sagital en STIR. Calcificación en la inserción del Aquiles, con edema óseo por osteitis, pero se conserva la SI del tendón.

Fig 82. Tendinosis crónica del aquiles.
Ecografía vista axial. Engrosamiento del tendón con alteración de su ecogenicidad, por inflamación crónica.

Fig 83. Tendinosis crónica del aquiles.
A: RM axial en T2. Engrosamiento del tendón, con pérdida de la concavidad anterior.
B: RM sagital en STIR y C: RM sagital en T2. Engrosamiento de la zona crítica del tendón, conservándose la señal.
Diferenciar clínicamente una ruptura parcial, de una tendinosis crónica es difícil. Por imagen una ruptura parcial se asocia con edema subcutáneo, hemorragia en la grasa pre-aquiliana e intratendinosa. En la tendinosis generalmente no se encuentran cambios inflamatorios, ni hiperintensidad del tendón. (1).
Las rupturas pueden ser parciales o completas. Se clasifican en insercionales, las cuales ocurren a menos de 2 cm de la inserción y no insercionales, que suceden 2 a 6 cm por encima de la inserción. (Fig 84, 85, 86 y 87).
Puede ocurrir calcificación del tendón, hasta en el 30% de las rupturas.
Se recomienda hacer un estudio PreQx para determinar el tipo de lesión, su extensión y localización.
Si los extremos están en contacto, se decide hacer un manejo conservador. (2).

Fig 84. Ruptura parcial del aquiles.
A: Ecografía vista sagital y B: vista axial. Adelgazamiento del tendón por ruptura parcial, el cual está rodeado por líquido.

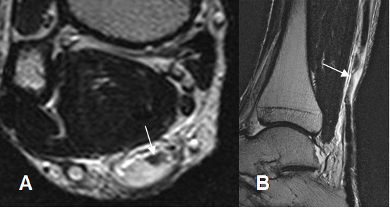
Fig 85. Ruptura parcial del aquiles.
A: RM axial y B: RM sagital en T2. Adelgazamiento del tendón en la zona crítica, pero conserva la continuidad.

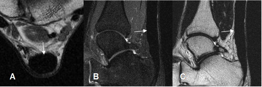
Fig 86. Ruptura insercional del aquiles.
A: RM axial en T2. Area hiperintensa sobre la inserción del aquiles, por ruptura.
B: RM sagital en T2 y C: RM sagital en STIR. Solución de continuidad del tendón a nivel de su inserción, con cambios inflamatorios agudos en los tejidos vecinos.

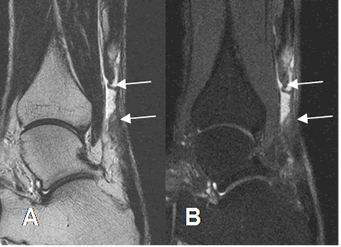
Fig 87. Ruptura no insercional del aquiles.
A: RM sagital en T2 y B: RM sagital en STIR. Ruptura completa del aquiles en la zona crítica, con separación de los extremos.
En el tendón de aquiles puede ocurrir una patología especial, conocida como Xantoma. Corresponde a un gran engrosamiento fusiforme del tendón, el cual es heterogéneo. Aparece en pacientes con hipercolesterolemia y su compromiso es bilateral. (2).
| Fecha de creación | Marzo 1 de 2011 |
| Fecha de actualización | Noviembre 21, 2011 |