LESIONES LIGAMENTARIAS.
La mayoría de esguinces del tobillo, se producen por un mecanismo de inversión forzada, que lesionan los componentes del LCL. (2)
El ligamento mas frecuentemente lesionado es el peroneoastragalino anterior, seguido por el peroneocalcáneo. (1, 11).
Las lesiones se pueden clasificar en:
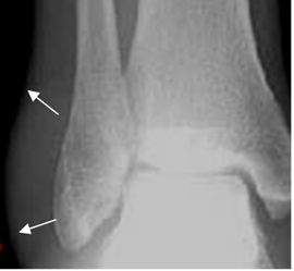
La Rx puede ser normal o mostrar edema de tejidos blandos. (12). (Fig 58 A y B).

Fig 58 A. Esguince del tobillo.
Rx AP. Edema de tejidos blandos, sobre el maléolo externo.

Fig 58 B. Edema de tejidos blandos.
A y B: TAC reconstrucción coronal en ventana de tejido y ósea. Prominencia de los tejidos blandos en la parte externa, con pérdida de los planos grasos, por edema.
C: RM axial en STIR y D: RM coronal en T2. Edema de tejidos blandos hiperintenso en ambas secuencias, con pequeña colección líquida. (Flecha gruesa).
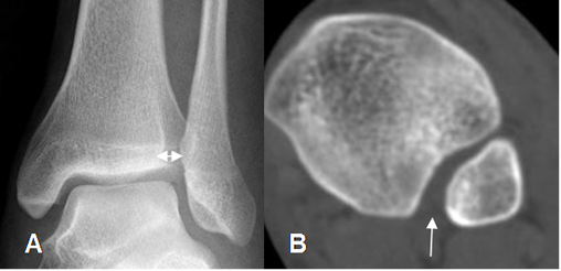
En casos de lesión de la sindesmosis tibioperoneoastragalina, se produce ruptura de los ligamentos interóseos (Tibioperoneo anterior y posterior). En la Rx se observa aumento del espacio entre la tibia y el peroné mayor de 6 mm, en la proyección AP. (12). (Fig 59 A y 59 B). En las Rx de stress puede haber aumento de los espacios articulares, en casos de lesiones ligamentarias completas. (Fig 59 C y 59 D).

Fig 59. Lesión de ligamentos de la mortaja tibioperonea.
A: Rx AP. Aumento del espacio tibioperoneo, por lesión ligamentaria.
B: TAC axial. Aumento del espacio tibioperoneo posterior, por lesión ligamentaria.

Fig 59 B. Lesión de la mortaja.
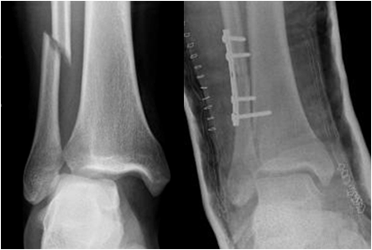
A: Rx AP. Fractura no desplazada del peroné distal. Se aprecia incremento del espacio articular tibio peroneo distal y subluxación de la articulación tibioastragalina, por lesión ligamentaria.
B: Rx AP. Cambios PostQx con reducción de la subluxación y estabilización de la fractura en el peroné.

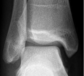
Fig 59 C. Lesión ligamentaria.
Rx AP. Leve aumento del espacio articular medial.

Fig 59 D. Lesión ligamentaria.
A: Rx lateral. Igual paciente anterior. No se encuentran alteraciones.
B: Rx lateral con stress. Aumento del espacio articular, con desplazamiento posterior de la tibia, por lesión ligamentaria.
Se recomienda la valoración ligamentaria con secuencias en T2, por su excelente contraste entre el ligamento hipointenso y el sangrado y los cambios inflamatorios, los cuales son hiperintensos. (13).
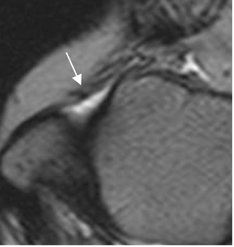
En los esguinces agudos grado I, se encuentra el ligamento íntegro, rodeado por líquido por edema o hemorragia y pérdida de los planos grasos. (Fig 60). En los grado II, el ligamento es irregular e hiperintenso, con cambios inflamatorios mas severos. (1, 12). (Fig 61, 62 y 63).
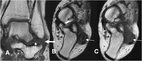
En los esguinces grado III, hay discontinuidad de las fibras por ruptura (1). Las rupturas completas del LPAA, se asocian siempre con abundante hemartrosis. (12). (Fig 64 A, 64 B y 65 C).

Fig 60. Esguince grado I.
RM axial en T2. Cambios inflamatorios rodeando el LPAA, el cual permanece intacto.

Fig 61. Esguince grado II.
A: RM axial y B: RM coronal en STIR. Fibras hiperintensas del LPAP por distensión, pero se conservan integras.

Fig 62. Esguince grado II.
A y B: RM axial en T2. LPAA irregular y con interrupción de algunas fibras, por ruptura parcial.

Fig 63. Esguince grado II.
RM coronal en STIR. Hiperintensidad en LPAP, por ruptura de algunas fibras.

Fig 64 A. Lesión ligamentaria.
Ecografía longitudinal. Presencia de líquido y ausencia del ligamento peroneoastragalino anterior, por ruptura.

Fig 64 B. Esguince grado III.
RM axial en T2. Ruptura completa del LPAA, con líquido fuera de la articulación.

Fig 64 C. Esguince G III.
RM coronal en STIR. No visualización de los ligamentos peroneoastragalino, ni peroneocalcaneo, por ruptura completa.
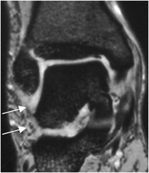
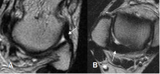
Las lesiones crónicas producen irregularidad, engrosamiento o alargamiento del ligamento y disminución de la grasa vecina por fibrosis o proliferación sinovial. (1). Estos cambios crónicos serán revisados mas ampliamente, en los síndromes de pinzamiento. (Fig 65 y 66).

Fig 65 A. Lesión ligamentaria crónica.
A y B: RM axial en T2. Engrosamiento del LPAA en A y del LPAP en B, por lesiones crónicas.

Fig 65 B. Lesión ligamentaria crónica.
A: RM coronal en T1. Pérdida de la señal normal de los ligamentos peroneoastragalino posterior (Flecha delgada) y peroneocalcaneo (Flecha gruesa).
B: RM axial en T2 y C: RM axial en T1. Los componentes del ligamento colateral lateral están engrosados y con alteración de su señal, por lesión crónica.

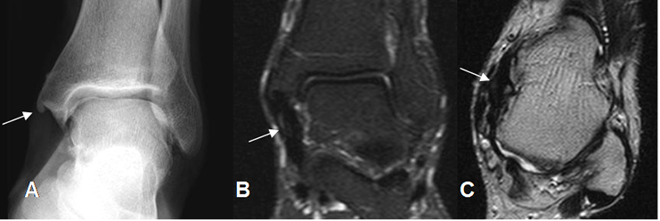
Fig 66. Lesión ligamentaria crónica.
A: Rx AP. Calcificación en el borde inferior del maléolo interno y prominencia de los tejidos blandos.
B: RM coronal en STIR y C: RM axial en T2. Engrosamiento del ligamento tibiocalcáneo (Flechas), por lesión crónica, sin signos de ruptura completa.
El ligamento spring, puede presentar zona hiperintensa en T2, a nivel de su inserción en el calcáneo y no debe ser confundido con ruptura. (5).
La ecografía tiene una alta sensibilidad para la detección de lesiones ligamentarias, en especial del LPAA, LPC y LTPA. (14).
En cortes longitudinales se aprecian como estructuras lineales, homogéneas y menores de 2 mm de espesor. (14).
En el esguince grado I se pierde el patrón fibrilar y el tendón tiene un espesor normal o algo engrosado. En el grado II muestra área hipoecoica intrasustancia o sobre los lugares de inserción y en el grado III, ruptura completa sin visualización de fibras. (Fig 64A).
Al igual que con la RM, en los cambios crónicos el ligamento se visualiza engrosado. (14).
| Fecha de creación | Marzo 1 de 2011 |
| Fecha de actualización | Diciembre 1, 2014 |