OSTEOARTRITIS.
La inflamación, es la patología que afecta más frecuentemente las articulaciones SI.
Ocasiona dolor inespecífico, que puede irradiarse a las extremidades, el cual es indistinguible a otras causas de dolor lumbar mecánico, entre ellos la discopatía. (1, 3).
La osteoartrosis es el resultado del daño del cartílago articular, producido por el microtrauma repetido a lo largo de la vida. (3).
El diagnóstico de esta patología, es difícil en las fases iniciales. (2). Posteriormente aparece disminución del espacio articular, erosión subcondral del iliaco y formación de osteofitos con predominio en la parte anteriorinferior. (2). (Fig 6 y 7).
Otro hallazgo es la presencia de fenómeno del vacío y a largo plazo, puede aparecen fusión de la articulación. (1, 3). (Fig 8 y 9).

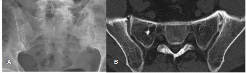
Fig 6. Sacroileitis.
A: Rx AP. Cambios crónicos en SI derecha, con disminución del espacio, erosión y esclerosis.
B: TAC axial. Erosión y esclerosis osea, en el componente iliaco de ambas SI.

Fig 7. Sacroileitis.
A: Rx AP. Cambios crónicos en ambas SI, con erosión, esclerosis y osteofitos inferiores.
B: TAC axial. Osteofitos anteriores, con formación de puente óseo en la SI izquierda.

Fig 8. Fenómeno del vacío.
TAC axial, con presencia de aire en ambas SI y esclerosis asociada.

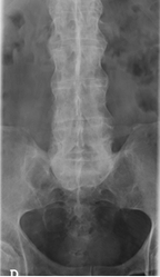
Fig 9. Espondilitis Anquilosante.
Rx AP. Fusión de ambas SI, por espondilitis anquilosante.
En la RM hay liquido articular y adelgazamiento del cartílago, el cual muestra aumento de la SI en T2. (2). (Fig 10A y 10B).
La erosión ósea, se aprecia como área hipointensa o hiperintensa en T1 y T2, dependiendo del tiempo de evolución, similar a los cambios Modic de las placas terminales de la columna. (2). (Fig 11 y 12).

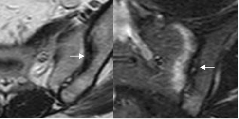
Fig 10 A. Sacroileitis.
A: RM coronal y B: RM axial en STIR. Signos de sacroileitis izquierda incipiente, con escaso líquido articular.

Fig 10 B. Sacroileitis.
A: RM axial en T2 y B: RM coronal en STIR. Zona hiperintensa, por inflamación del cartílago. (Flechas). Además hay imágenes hiperintensas en el sacro, por osteitis.

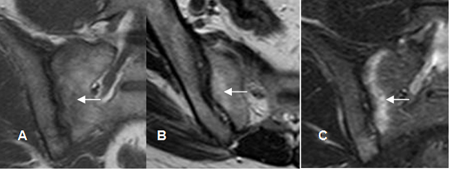
Fig 11. Sacroileitis aguda.
A: RM coronal en T1, B: RM axial en T2 y C: RM coronal en STIR. Osteitis del componente sacro derecho, de evolución aguda, hipointenso en T1 e hiperintenso en T2 y STIR. (Flechas).

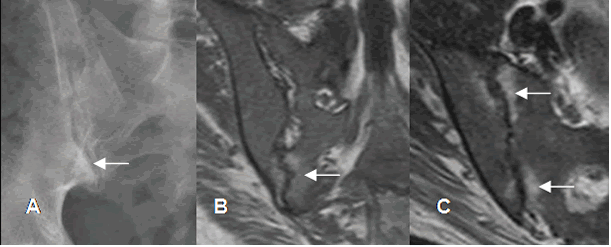
Fig 12. Sacroileitis Subaguda.
A: Rx Pelvis AP. Esclerosis en el componente iliaco derecho.
B: RM T1 coronal y C: RM T2 axial. Osteitis de los componentes sacro e iliaco, hiperintenso en ambas secuencias, por evolución subaguda. (Flechas).
Los cambios óseos son mejor identificados con TAC y los cartilaginosos con RM. (2).
Las espondiloartropatías, como la espondilitis anquilosante (EA), la artritis psoriásica, el síndrome de reiter, la artritis reumatoidea y otras enfermedades inflamatorias, (Crohn, colitis ulcerativa, LES, etc.), pueden causar compromiso de las SI, radiológicamente indistinguibles. (Fig 13 A)
La EA afecta comúnmente las SI. Se puede decir que si no hay compromiso de las SI, se debe descartar esta patología. (1). (Fig 13 B).
Para una mejor descripción de los cambios por EA, ver el capítulo de artropatías.

Fig 13 A. Sacroileitis por enfermedad de Crohn.
A: TAC axial. Engrosamiento y captación de la pared, en una asa de intestino delgado, por enfermedad de Crohn. B: RM coronal en T1 y C: RM axial en STIR. Lesiones hipointensas en T1 e hiperintensas en STIR, sobre ambas sacroiliacas, por inflamación aguda.

Fig 13 B. Espondilitis anquilosante.
Rx AP de columna. Presencia de sindesmofitos en la columna dorsolumbar.
Compromiso simétrico de ambas articulaciones sacroiliacas, las cuales están fusionadas.
| Fecha de creación | Marzo 1 de 2011 |
| Fecha de actualización | Diciembre 11, 2016 |