VALORACION RADIOLOGICA.
Como en todas las articulaciones, se debe iniciar la valoración con radiografía (Rx) simple. Con esta modalidad se pueden identificar lesiones focales, calcificaciones anormales, valorar lesiones traumáticas, etc.
La rodilla se explora con proyecciones AP y lateral y en casos especiales su utilizan radiografías oblicuas o proyección de túnel. (Fig 4 y 5).

Fig 4. Estructuras óseas.
A: Rx AP y B: Rx lateral. PA: Patela. CF: Cóndilos femorales. PT: Platillos tibiales. PE: Cabeza del peroné.

Fig 5. Espacio intercondileo.
A: Rx proyección de túnel o Fick y B: TAC reconstrucción coronal. Espacio intercondileo amplio, sin formación de osteofitos.
Numerosos métodos han sido propuestos, para la adquisión de radiografías axiales de la articulación patelofemoral. La mas utilizada es la proyección de Merchant, con flexión de 30º y rotación lateral de la pierna. (8). Con ella se mide el ángulo de congruencia y el ángulo de inclinación patelar.

Fig 6. Angulo de congruencia.
Rx tangencial a 30º. Bisectriz del ángulo del surco (Línea blanca) y línea que une el centro del surco, con la parte inferior de la patela. (Línea roja).

Fig 7. Angulo patelofemoral.
Rx tangencial a 30º. Angulo normal, de vértice medial.
La principal indicación para realizar tomografía axial computarizada (TAC), es el trauma. Las reconstrucciones 3 D de fracturas en los platillos tibiales, son de mucha utilidad para la caracterización y planeación quirúrgica. (Fig 8).

Fig 8. Reconstrucción 3D.
A: Rx AP y B: TAC reconstrucción 3D. Fractura conminuta del tercio proximal de la tibia y el peroné.
La ecografía permite valorar el sitio de mayor sintomatología, en los casos de dolor y hacer un estudio comparativo, con la extremidad asintomática. (9).
El mecanismo extensor es de fácil evaluación debido a su localización superficial. Los músculos cuadriceps y el tendón patelar muestran una ecotextura fibrilar y paralela. El tendón del cuadriceps puede ser hipoecoico en su inserción patelar, por la anisotropía y no debe ser confundido con patología. (9). (Fig 9).

Fig 9. Mecanismo extensor.
A y B: Ecografía sagital. Tendones normales del cuadriceps en A y patelar en B (Flechas).
La Resonancia Magnética (RM) es el estudio de elección, para la valoración de la rodilla.
Permite estudiar las estructuras óseas y los tejidos blandos, incluyendo músculos y tendones, ligamentos, meniscos, espacio articular, bursas, etc.
Las secuencias deben incluir cortes axiales, sagitales y coronales.
En las diferentes orientaciones se deben buscar las distintas estructuras, con énfasis en:
Los tendones de todos los grupos musculares, se aprecian como estructuras hipointensas en todas las secuencias, en relación con los sitios de origen e inserción. (Fig 10).
El tendón del cuadriceps tiene un espesor entre 6 y 10 mm. El tendón patelar aumenta progresivamente su espesor de proximal a distal, siendo menor de 7 mm. (6,10). Puede presentar una banda de señal intermedia en la parte posterior del tercio proximal y en la zona central del tercio distal. (6,10). (Fig 11 y 12).

Fig 10. Tendones normales de la pata de ganso.
A: RM sagital en T1 y B: RM axial en T2. Tendón del semitendinoso (Flecha delgada), sartorio (Flecha gruesa) y recto interno (Punta de flecha).

Fig 11. Mecanismo extensor normal.
A: RM sagital en T1 y B: RM sagital en T2. Tendón del cuadriceps (Flechas gruesas) y patelar (Flechas delgadas) de aspecto normal, hipointensos en ambas secuencias.

Fig 12. Mecanismo extensor normal.
RM sagital en T1. Zonas hipointensas en el tercio proximal del tercio proximal y distal del tendón patelar, por variante normal.
Para una adecuada valoración del LCA, se deben orientar los cortes sagitales con una rotación externa entre 20º y 25º de la rodilla.
El ligamento se aprecia como una estructura hipointensa en todas las secuencias, pudiendo reconocer sus 2 bandas. Pueden encontrarse áreas hiperintensas en su parte distal, por interposición de grasa o sinovial entre las fibras o degeneración mucoide. (2). (Fig 13 y 14).
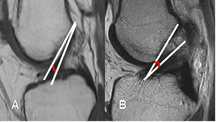
La orientación del LCA es uno de los signos con mayor sensibilidad y especificidad, de lesión ligamentaria.

Fig 13. LCA normal.
A: RM sagital en T1, B: RM sagital en T2 y C: RM sagital en FFE. Ligamento normal,
hipointenso en todas las secuencias.

Fig 14. LCA normal.
RM coronal en T1. Bandas normales del LCA. Anteromedial (Flecha delgada) y posterolateral (Flecha gruesa).

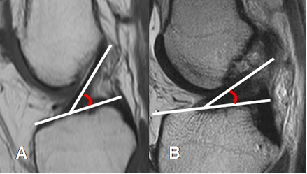
Fig 15. LCA normal.
A: RM sagital en T1. Relación normal, con el platillo tibial.
B: RM sagital en T2. Ruptura del LCA, el cual está horizontalizado y con disminución del ángulo.

Fig 16. LCA normal.
A: RM sagital en T1. Angulo normal de vértice superior, con la línea intercondilea.
B: RM sagital en T2. Ruptura del LCA, con ángulo de vértice inferior.
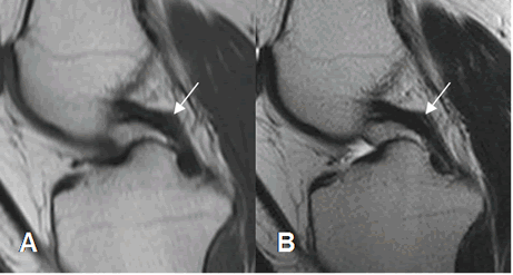
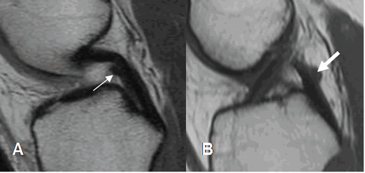
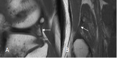
El LCP también se aprecia como una banda hipointensa en todas las secuencias. (2). (Fig 17). El ángulo entre los ejes de la inserción tibial y femoral, normalmente mide 123º. (11).
Este ligamento está rodeado por los ligamentos meniscofemorales que se originan del cóndilo femoral interno y se insertan en el menisco externo. Son el anterior o de Humphrey y el posterior o de Wrisberg. Estas estructuras no deben confundirse con cuerpos libres intra-articulares. (2). (Fig 18 y 19).

Fig 17. LCP normal.
A: RM sagital en T1 y B: RM sagital en T2. Ligamento normal, hipointenso en todas las secuencias.

Fig 18. Ligamentos meniscofemorales.
A y B: RM sagital en T1. Ligamento meniscofemoral anterior (Flecha delgada) y posterior (Flecha gruesa).

Fig 19. Ligamentos meniscofemorales normales.
A: RM coronal en T1 y B: RM coronal en STIR. Ligamento menisco femoral posterior (Flecha delgada), en relación con el LCP (Flecha gruesa). Menisco externo (Punta de flecha).
Los ligamentos colaterales unen el fémur distal, con la tibia y el peroné proximal. (Fig 20).

Fig 20. Ligamentos colaterales normales.
A y B: RM coronal en T1. LCL en A y LCM en B.
Los componentes del complejo de la esquina posterolateral, son mejor identificados en secuencias coronales y sagitales, por detrás del tendón poplíteo. (4). (Fig 21 a 28).

Fig 21. Tendón del bíceps femoral normal.
A: RM coronal en T1 y B: RM sagital en T1. Tendón normal, insertándose en la cabeza del peroné.

Fig 22. Esquina posterolateral normal.
A: RM coronal y B: RM sagital en T1. Inserción conjunta en la cabeza del peroné del LCL (Flecha delgada) y el biceps femoral (Flecha gruesa).

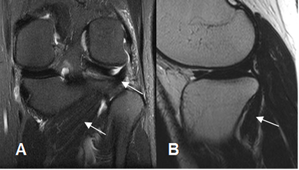
Fig 23. Tendón poplíteo normal.
A: RM coronal en STIR y B: RM sagital en T2. Tendón poplíteo normal, originado en el cóndilo femoral lateral.

Fig 24. Fascia lata normal.
RM coronal en T1. Inserción normal de la fascia lata en la tibia.

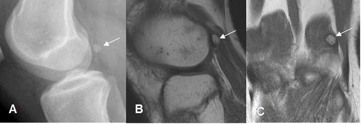
Fig 25. Fabela normal.
A: Rx lateral, B: RM sagital en T1 y C: RM coronal en T1. Fabela normal, en la parte posterior del cóndilo femoral externo.

Fig 26. Fabela normal.
A: RM sagital y B: RM coronal en T1. Ligamento fabelofibular normal.

Fig 27. Ligamentos poplíteos meniscales.
RM sagital en STIR. Ligamento poplíteo meniscal superior (Flecha delgada) e inferior normales. (Flecha gruesa). Además ligamento popliteofibular. (Punta de flecha).

Fig 28. Ligamento arcuato normal.
A: RM coronal en T1 y B: RM coronal en STIR. Ligamento normal, por engrosamiento posterior de la cápsula.
La valoración con Rx de los meniscos solo permite determinar su calcificación, en casos de condrocalcinosis. Disminución o cambios degenerativos en los espacios femorotibiales, hacen sospechar su compromiso. (5).
En la actualidad la RM es la modalidad de elección para valorar su lesión, utilizando secuencias sagitales. En casos de contraindicación, la artroTAC, es una buena alternativa.
Los cuernos anterior y posterior, se identifican como estructuras triangulares, hipointensas y de bordes bien definidos. (5). (Fig 29 a 32).
La artroresonancia (ArtroRM) es la mejor técnica para evaluar la rodilla postquirúrgica y los cambios meniscales y del LCA.
La aplicación de la mezcla intra-articular de contraste, se hace en la misma mesa de examen, dirigida por palpación y puncionando la parte inferior del borde lateral de la patela.

Fig 29. Meniscos normales.
A: RM sagital en T1, B: RM sagital en T2 y C: ArtroRM sagital en STIR. Meniscos normales triangulares e hipointensos en todas las secuencias. Cuernos anteriores (Flechas delgadas) y cuernos posteriores (Flechas gruesas).

Fig 30. Meniscos normales.
A: RM coronal en STIR. Menisco interno (Flecha delgada) y menisco externo (Flecha gruesa). B: RM axial en T2. Menisco interno (Flechas delgadas) y Externo (Flechas gruesas).

Fig 31. Meniscos normales en ArtroRM.
A: ArtroRM sagital en STIR y B: ArtroRM axial en STIR. Meniscos normales, rodeados por la mezcla de contraste hiperintensa.

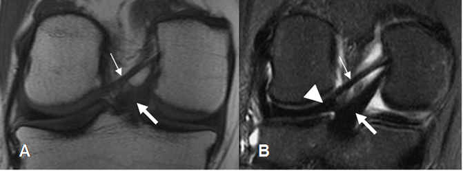
Fig 32. Ligamento transverso normal.
A: RM sagital en T1 y B: RM axial en T2. Estructura hipointensa en todas las secuencias, que une los meniscos en su parte anterior.
La patela es estabilizada por múltiples estructuras. En la parte superior por el tendón del cuadriceps, en la inferior por el tendón patelar, en la parte interna por el retináculo medial y vasto interno y en la externa, por el retináculo lateral, el vasto externo y la banda iliotibial. Los retináculo son estructuras hipointensas, que se insertan en los bordes de la patela y el fémur. (12). (Fig 33).

Fig 33. Retináculos normales.
A: RM axial 3D STIR en T1 y B: RM axial en T1. Retináculos normales hipointensos, entre la patelay el fémur. Medial (Flechas gruesas) y lateral (Flechas delgadas).
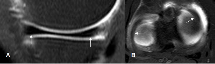
El cartílago articular es una estructura de bordes regulares y señal de intensidad (SI) homogénea, hipo o hiperintensa, según la secuencia elegida. (13). Las secuencias en T1 tienen buena sensibilidad para detectar lesiones condrales. (14).
Utilizando secuencias en T1 FS 3D FLASH, el cartílago muestra un aspecto trilaminar, con regiones superficial y profunda delgadas e hiperintensas y otra región media de señal intermedia. (15). (Fig 34 y 35).

Fig 34. Cartílago articular normal.
RM sagital en T1. Cartílago normal con señal intermedia y homogénea.

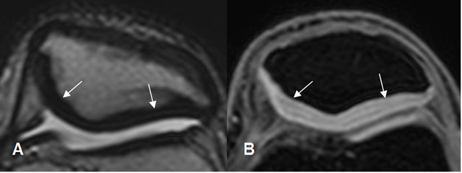
Fig 35. Cartílago patelar normal.
A: RM axial en T2. Cartílago normal, con señal homogénea e hipointensa.
B: RM axial 3D en T1 STIR. Cartílago hiperintenso y de aspecto trilaminar.
Existen cojinetes grasos en la rodilla, de localización intracapsular y que pueden estar afectados por varias patologías intrínsecas y extrínsecas. Son la grasa suprapatelar o del cuadriceps, la prefemoral y la infrapatelar o de hoffa. (Fig 36).

Fig 36. Cojinetes grasos normales.
A: RM sagital en T1 y B: RM sagital en STIR. Cojinetes normales hiperintensos en T1 y que suprimen en STIR. Grasa suprapatelar (Flecha delgada), grasa prefemoral (Flecha gruesa) y grasa de hoffa. (Punta de flecha).
| Fecha de creación | Marzo 1 de 2011 |
| Fecha de actualización | Junio 5, 2014 |