LESIONES DEL LCP.
El mecanismo de lesión ocurre por impacto anterior en la tibia proximal, con la rodilla en flexión. También por hiperflexión o hiperextensión de la rodilla, sin trauma tibial. (2).
Las lesiones del LCP, se asocian a daños en la esquina posterolateral y las rupturas mas frecuentemente se localizan en el tercio medio. (2, 12, 16).
Los hallazgos de lesión del LCP en RM, son similares a las del LCA. Un LCP con señal mas alta que el LCA en cualquier secuencia, es siempre patológico. (3). (Fig 111 a 116).
La contusión ósea característica sucede en la parte anterior de la tibia y posterior del cóndilo femoral, en casos de desplazamiento de la tibia o en la parte anterior de la tibia o el fémur, por trauma directo. (2).

Fig 111. Avulsión del LCP.
A: Rx AP y B: Rx lateral. Presencia de fragmento óseo central y de localización posterior, por avulsión sobre la inserción del LCP.

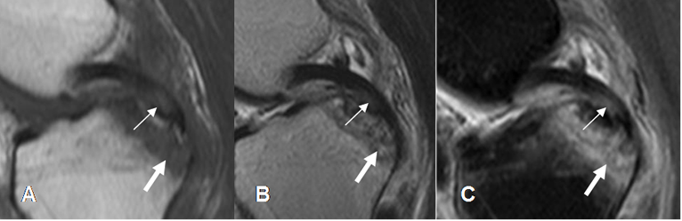
Fig 112. Esguince grado II del LCP.
A: RM sagital en T1, B: RM sagital en T2 y C: RM sagital en STIR. Zona de aumento en la señal en el tercio distal del LCP, con ruptura de algunas fibras por esguince GII. (Flecha delgada). Además hay contusión en la parte posterior de La tibia. (Flecha gruesa).

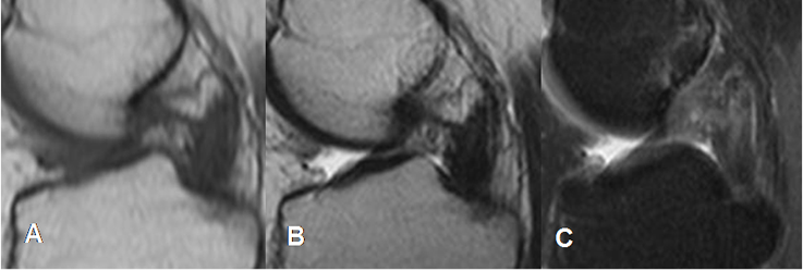
Fig 113. Ruptura del LCP.
A: RM sagital en T1, B: RM sagital en T2 y C: RM sagital en STIR. Ausencia del LCP sin cambios inflamatorios agudos, por ruptura de evolución crónica.

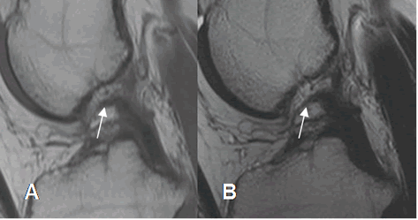
Fig 114. Ruptura del LCP.
A: RM sagital en T1 y B: RM sagital en T2. Solución de continuidad del LCP en su tercio proximal, por ruptura.

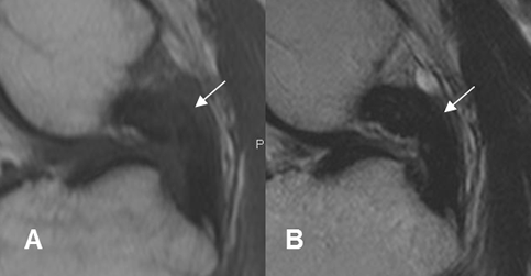
Fig 115. Fibrosis del LCP.
A: RM sagital en T1 y B: RM sagital en T2. El LCP está engrosado y con alteración de la señal, por fibrosis residual.

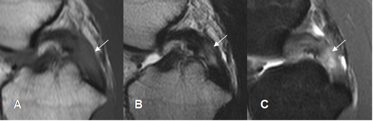
Fig 116. Lesión crónica reagudizada del LCP.
A: RM sagital en T1, B: RM sagital en T2 y C: RM coronal en STIR. Engrosamiento del LCP, por fibrosis reparativa. Existe zona hiperintensa en T2 y STIR, por reagudización.
| Fecha de creación | Marzo 1 de 2011 |
| Fecha de actualización | Junio 6, 2014 |