VALORACION RADIOLOGICA.
La resonancia magnética (RM) es la modalidad de elección, por la posibilidad de estudio multiplanar y su gran capacidad para estudiar los tejidos blandos. (2).
El plejo braquial ocupa el cojinete grasa interescalénico, una zona triangular y simétrica, hiperintensa en la secuencia T1 coronal. Su desaparición implica la invasión del plejo braquial. (1). (Fig 2).
Las raíces se identifican como imágenes delgadas, lineales e hipointensas en todas las secuencias. Se sitúan posteriores a los vasos subclavios en plano axial y superiores a ellos, en el coronal. (2). (Fig 2, 3, 4 y 5).
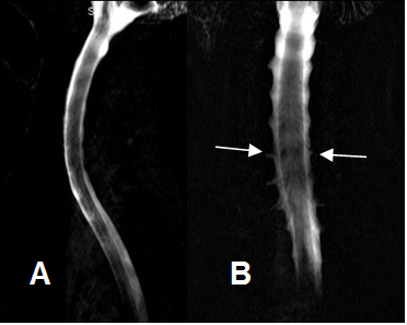
En la mielografía por RM se aprecian las raíces en cortes los coronales. (4). (Fig 6).

Fig 2. Cojinete graso.
A: RM coronal en T1, B: RM coronal en T2 y C: RM coronal en STIR. Cojinete graso normal hiperintenso en T1 y T2 y que suprime en STIR (Flechas gruesas), que contiene las raíces nerviosas. (Flechas delgadas).

Fig 3. Raíces normales.
A: RM axial en T1 y B: RM axial en T2. Raíces normales (Flechas delgadas), que emergen entre los músculos escaleno anterior (EA) y escaleno medio. (EM).

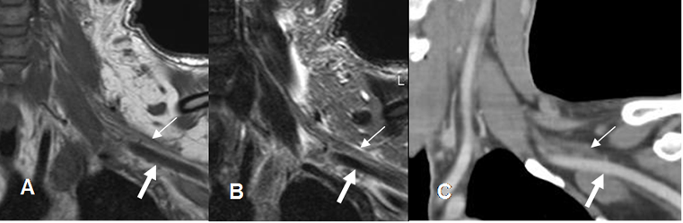
Fig 4. Raíces normales.
A: RM coronal en T1, B: RM coronal en T2 y C: TAC reconstrucción coronal. Raíces normales hipointensas, en la RM (Flechas delgadas), por encima de los vasos subclavios. (Flechas gruesas).

Fig 5. Raíces normales.
A: RM sagital en T1 y B: RM sagital en T2. Raíces normales (Flechas delgadas), por encima de los vasos subclavios. (Flechas gruesas).

Fig 6. Mielografía normal.
A: Mielografía por RM lateral y B: Mielografía por RM AP. Estudio normal, donde se aprecia la salida de las raíces.
| Fecha de creación | Marzo 1 de 2011 |
| Fecha de actualización | Noviembre 1, 2011 |