ALTERACIONES CONGENITAS.
PECTUM EXCAVATUM:
Es la alteración del desarrollo, mas frecuente en el esternón. (4).
Ocurre por crecimiento excesivo del cartílago, en las costillas inferiores, que ocasiona disminución del espacio prevertebral, con desviación a la izquierda y rotación axial del corazón. (4).
En la Rx PA hay desplazamiento del corazón, con disminución de la densidad del ángulo cardiofrénico derecho. Con la proyección lateral, se identifica el grado de depresión esternal. (4). (Fig 17).
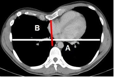
La TAC permite evaluar la severidad de esta alteración, mediante un índice. Se mide la relación entre el diámetro transverso del tórax y el anteroposterior, que normalmente es 2.56 ± 0.35. La corrección quirúrgica está indicada con un índice mayor de 3.25. (4). (Fig 18 y 19).

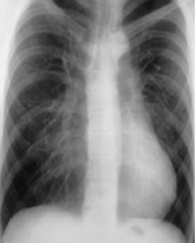
Fig 17. Pectum excavatum.
Rx PA. Desplazamiento de la silueta cardiaca hacia la izquierda, lo que hace sospechar pectum excavatum.

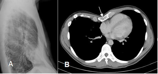
Fig 18. Pectum excavatum.
A: RX lateral. No se encuentran alteraciones significativas en el esternón.
B: TAC axial. Desplazamiento posterior del esternón que comprime la silueta cardiaca y la desplaza hacia la izquierda, por pectum excavatum.

Fig 19. Pectum excavatum.
TAC axial. Indice de severidad. Indicación quirúrgica si la relación A/B es mayor de 3.25.
A línea blanca y B línea roja.
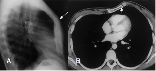
PECTUM CARINATUM:
En esta alteración hay desplazamiento anterior del esternón. (4). (Fig 20).
La malformación es menos frecuente que el pectum excavatum y se asocia a enfermedad cardiaca congénita cianosante. (4).
Fig 20. Pectum carinatum.
A: Rx lateral. Aumento del diámetro AP del tórax, con desplazamiento anterior del esternón.
B: TAC axial. Desplazamiento anterior del esternón, por pectum carinatum.
COSTILLA CERVICAL:
Corresponde a una costilla supernumeraria, generalmente articulada con la apófisis transversa de C7. (4). (Fig 21).
En la mayoría de los casos la alteración es asintomática, aunque puede ocasionar síndrome de la abertura torácica superior, con compresión de los vasos subclavios. (4).
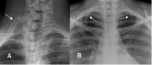
Fig 21. Costilla cervical.
A y B: Rx AP. Costillas supernumerarias, en relación con la apófisis transversa de C7. En la malformación es bilateral.
| Fecha de creación | Marzo 1 de 2011 |
| Fecha de actualización | Abril 7, 2014 |