OSTEOPOROSIS.
El hueso es un tejido activo y dinámico, con un equilibrio entre la producción y la reabsorción. (1).
El crecimiento y la mineralización ósea están controlados por factores hormonales
(Hormona de crecimiento, calcitonina y paratohormona), la ingesta, excreción y reabsorción renal de calcio, fósforo y vitamina D. (1).
La osteopenia se manifiesta radiológicamente, con disminución en la densidad ósea, sin importar su etiología. (8). Como la osteoporosis es la causa mas frecuente de osteopenia, en ocasiones estas palabras se utilizan como sinónimos.
Otro término que se debe considerar es la osteomalacia. En esta alteración hay una incompleta mineralización de la matriz osteoide y el ejemplo clásico es el raquitismo. (8).
La osteoporosis es la enfermedad metabólica mas frecuente, caracterizada por un hueso cualitativamente normal, pero cuantitativamente deficiente, con disminución de la masa ósea. La causa es una insuficiente formación de matriz ósea o un aumento en la reabsorción. (8,9).
Clínicamente la mayoría de pacientes son asintomáticos, pues se requiere de una disminución mayor al 50% en la masa ósea. El principal síntoma es el dolor, generalmente ocasionado por fracturas en la columna y las cabezas femorales. (8).
Según su localización la osteopenia puede clasificarse en: (8).
Hay múltiples causas de osteopenia, siendo las mas frecuentes: (8).
En los estados iniciales de la osteopenia la Rx simple es normal. Se debe diagnosticar mediante métodos cuantitativos. (9). La cabeza del fémur, el calcáneo y las vértebras, son las áreas mas utilizadas, para realizar los estudios cuantitativos.
En las etapas tardías, es detectable por métodos de imagen cuando hay una pérdida mayor del 30% de la matriz. (9).
El principal hallazgo es la reducción de la densidad ósea, con disminución del número y espesor de las trabéculas del hueso esponjoso. Hay pérdida de las trabéculas transversales, con predominio de las verticales y las paralelas a los ejes de carga. (8). (Fig 35).
En la columna hay prominencia de las trabéculas verticales, por reabsorción de las horizontales. (Fig 36).

Fig 35. Osteoporosis.
A: Rx AP. Disminución de la densidad ósea, con prominencia de las trabéculas que siguen la orientación del eje de carga.

Fig 36. Osteoporosis.
A: Rx lateral de columna lumbar y B: Rx lateral de columna cervical.
Disminución de la densidad ósea, con prominencia de las trabéculas verticales.
Las fracturas vertebrales son las mas comunes complicaciones de la osteopenia. La mayoría son asintomáticas y son un hallazgo incidental en la Rx. (10). (Fig 37).
Muchas fracturas vertebrales son sobrediagnósticadas, con falsos negativos entre el 27% y 45%. La causa es multifactorial, atribuible a la técnica radiológica y la terminología ambigua.
El número de fracturas vertebrales, es proporcional al grado de osteoporosis. La osteopenia compromete las vértebras dorsolumbares. La afectación aislada por encima de D7, debe hacer sospechar otra patología. (9).
También se puede encontrar acuñamiento anterior de los cuerpos y biconcavidad, por la presión ocasionada por los discos intervertebrales. (Fig 38).

Fig 37. Osteoporosis.
A: TAC reconstrucción sagital en ventana de tejido y B: reconstrucción en ventana de hueso.
Signos de osteoporosis generalizada, con aplastamiento de D12 y alteración en las placas de L3 y L4.

Fig 38. Osteoporosis.
A: RM sagital en T1. Alteración en la SI de los cuerpos de L2 y L3, con configuración en
“ vértebras de pescado”.
B: RM sagital en STIR. Los cuerpos de L2 y L3 son hiperintensos, por fracturas osteoporóticas de evolución reciente.
En los huesos largos la reabsorción puede ser cortical, endostal o subperióstica. El grado de mineralización de un hueso largo, se puede determinar valorando el espesor cortical a nivel de su diáfisis. La suma del espesor debe ser como mínimo, la mitad del ancho de la diáfisis. (8). (Fig 39 y 40). Se recomienda hacer la medición en el 2º o 3º metacarpianos.
En la osteopenia pueden producirse fracturas por insuficiencia, debido a un stress normal en un hueso debilitado. Son comunes en el arco anterior de la pelvis, el sacro, las cabezas femorales y las tibias. Su detección con Rx es difícil debiendo recurrir a gamagrafía, TAC o RM para su confirmación. (9). (Fig 41 y 42).

Fig 39. Densidad ósea normal.
A y B: Rx AP. Huesos normales, cuyo espesor cortical alcanza el 50% del diámetro de la diáfisis.

Fig 40. Osteoporosis.
A: Rx AP de muñeca y B: Rx AP de hombro. Signos de osteoporosis, con adelgazamiento en las corticales de los huesos.

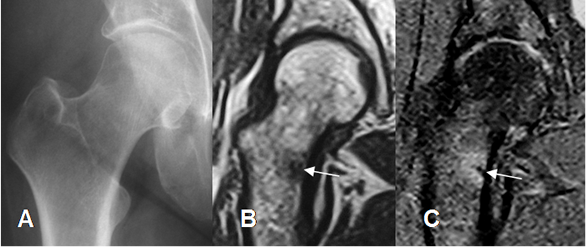
Fig 41. Fractura de stress.
A: Rx AP, sin cambios patológicos.
B: RM coronal en T1 y C: RM coronal en STIR. Fractura de stress en la parte medial del cuello femoral, vista como imagen hipointensa en ambas secuencias y con edema asociado.

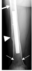
Fig 42. Fractura en osteoporosis.
Rx AP. Postquirúrgico de fractura del fémur. Disminución en la densidad
de la metáfisis distal (Flecha delgada). Cortical normal en el tercio proximal (Flecha gruesa) y engrosamiento de la cortical en la zona de consolidación de la fractura (Punta de flecha).
En el Dx diferencial de la osteopenia generalizada, se incluyen la osteomalacia, el hiperparatiroidismo y el mieloma múltiple. (8).
La osteopenia regional pude ser aguda o crónica. La aguda aparece en casos de inactividad o inmovilización prolongada. Los cambios aparecen después de 8 semanas y regresionan hasta la normalidad, al retornar la actividad.
La crónica ocurre en personas con parálisis. Afectan la extremidad inmóvil y pueden extenderse a la columna o la pelvis, según el compromiso. (9).
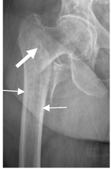
Son causas de osteopenia regional la inmovilización o desuso, la distrofia simpática o artropatía neuropática (Ver capitulo de artropatías), enfermedad de Paget, osteoporosis migratoria y osteoporosis transitoria de la cadera. (Ver capitulo de cadera). (Fig 43 y 44).

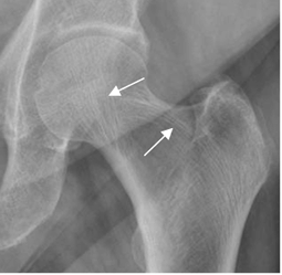
Fig 43. Osteoporosis regional.
A: Rx AP. Signos de osteoporosis con adelgazamiento de la cortical. (Flechas delgadas). Además se encuentra fractura intertrocantérica impactada (Flecha gruesa) y desprendimiento del trocánter menor.

Fig 44. Osteoporosis regional.
A: Rx AP. Fractura del maléolo interno.
B: Rx AP y C: TAC reconstrucción coronal 4 meses después. Signos de osteopenia sobre el tobillo, con incompleta consolidación de la fractura.
| Fecha de creación | Marzo 1 de 2011 |
| Fecha de actualización | Abril 12, 2014 |