ANEMIA DE CELULAS FALCIFORMES.
La anemia de células falciformes, es un tipo de anemia hemolítica, donde varía la morfología de los glóbulos rojos, por alteración en la composisción de la hemoglobina.
Su importancia radica en que ocasiona oclusión vascular, con isquemia e infartos en diferentes órganos. (11)
Se manifiesta con crisis de dolor agudo, que se inician en la edad pre-escolar.
En estos pacientes se mantiene la medula osea roja en los huesos largos y no se produce la conversión normal, a medula grasa. Esta expansión del espacio medular es muy característica en el cráneo, donde el engrosamiento del diploe adquiere la apariencia “de pelo”. (11).
Las complicaciones esqueléticas mas frecuentes, son el infarto óseo y la osteomielitis.
El infarto es mas común en las epífisis proximal del humero y fémur y es la causa de las crisis dolorosas. (11).
Se identifica en Rx como un área radiolúcida bien definida, con bordes escleróticos. En RM es una lesión hipointensa en T1, hiperintensa en T2 y STIR. Puede haber compromiso del periostio y los tejidos blandos, por lo que la diferenciación con osteomielitis es difícil. En las fases tardías y cuando se establece el infarto, es hipointensa en todas las secuencias, por la fibrosis. (11). (Fig 45 y 46).

Fig 45. Anemia drepanocítica.
A: Rx AP. Zonas de disminución en la densidad de la cabeza humeral.
B: RM coronal en T1 y C: RM coronal en STIR. Lesiones geográficas y parcheadas.
Algunas son hiperintensas en STIR por edema óseo (Flechas gruesas) y otras hipointensas por infarto (Flechas delgadas).

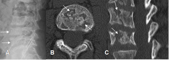
Fig 46. Anemia drepanocítica.
A: Rx lateral. Pérdida en la nitidez de los contornos de L4 y L5.
B: TAC axial y C: TAC reconstrucción sagital. Fragmentación de los cuerpos
vertebrales y defectos óseos por la presencia de infartos.
La osteomielitis es común en la diafisis de los huesos largos. Es ocasionado por gérmenes gran negativos, en especial la salmonella. El compromiso del aparato digestivo permite la bacteremia y las alteraciones hepáticas, alteran los mecanismos de fagocitosis y el complemento. (11).
Como se mencionó anteriormente, la diferenciación por imagen entre osteomielitis e infarto es difícil. Ayuda utilizar una secuencia T1 con supresión grasa y contraste endovenoso. La osteomielitis presenta realce y la necrosis no. (11).
| Fecha de creación | Marzo 1 de 2011 |
| Fecha de actualización | Abril 7, 2014 |