TRAUMA DEL MECANISMO FLEXOR.
En esta patología la lesión mas común es la ruptura del tendón profundo, como consecuencia de una hiperextensión forzada.
Con la Rx puede apreciarse avulsión de la inserción, en la parte anterior de la falange media o distal. (Fig 66).
La RM esta indicada para determinar el lugar de ruptura y el grado de retracción. (1). (Fig 67, 68 y 69).

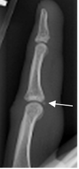
Fig 66. Lesión del mecanismo flexor.
Rx lateral. Fragmento óseo desprendido en la parte anterior de la base de la falange media, por avulsión del flexor superficial.

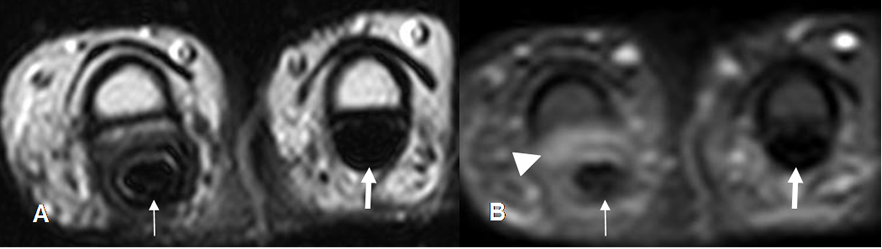
Fig 67. Lesión del mecanismo flexor.
A: RM axial en T2 y B: RM axial en STIR. Tendón flexor íntegro. (Flecha delgada). Separación del tendón de la falange media, por daño de la polea y presencia de tejido inflamatorio. (Punta de flecha). Comparar la posición del tendón normal, en el dedo adyacente. (Flecha gruesa).

Fig 68. Lesión del mecanismo flexor.
A: RM axial en T2 y B: RM axial en STIR. Ausencia de los tendones flexores, en la falange media del 5º dedo, por ruptura.

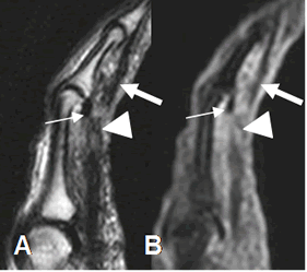
Fig 69. Lesión del mecanismo flexor.
A: RM sagital en T2 y B: RM sagital en STIR. Ruptura de los tendones flexores sobre la falange medial del 5º dedo. (Punta de flecha). Tendón superficial (Flecha delgada) y profundo (Flecha gruesa). Adicionalmente hay ruptura del mecanismo de poleas.
| Fecha de creación | Marzo 1 de 2011 |
| Fecha de actualización | Enero 30, 2014 |