GANGLION QUISTICO.
Son lesiones originadas de la cápsula articular, los tendones, las bursas o ligamentos y se manifiestan como masas no dolorosas. Pueden ocasionar otros síntomas, dependiendo de su localización. (18).
Los gangliones son las mas frecuentemente masas de tejidos blandos, encontradas en el dorso de la muñeca. (19).
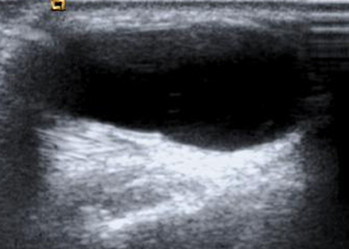
Se identifica en la ecografía como una masa uni o multilocular, anecoica, con reforzamiento posterior y que no comprime. (Fig 106).
Debe diferenciarse de liquido en el espacio radiocarpal posterior, el cual comprime con la presión. (19).
En la parte anterior, puede aparecer entre la arteria radial y el tendón del flexor radial del carpo.
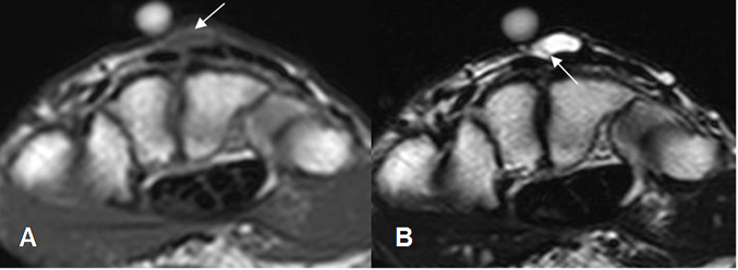
En la RM son hipointensos, isointensos o hiperintensos con relación al músculo en T1, dependiendo de su contenido. Hiperintensos uniformes en T2, con un fino borde hipointenso, que puede presentar septos, los cuales realzan con el contraste. (18). (Fig 107 y 108).

Fig 106. Ganglión quístico.
Ecografía sagital. Lesión de consistencia líquida en el dorso de la muñeca, por ganglión quístico.

Fig 107. Ganglión quístico.
A: RM axial en T1 y B: RM axial en T2. Lesión isointensa en T1 e hiperintensa en T2 en el dorso del carpo, por ganglión quístico. Se observa septo delgado en T2. (Flecha).

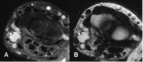
Fig 108 A. Ganglión quístico.
A: RM axial en T2 y B: RM axial en STIR. Lesión quística en la parte medial de la muñeca, que corresponde a ganglión quístico.

Fig 108 B. Ganglión quístico.
A: RM axial en T2 y B: RM sagital en T2. Imagen ovalada y de consistencia líquida, localizada por delante de los huesos del carpo, que corresponde a ganglión.
| Fecha de creación | Marzo 1 de 2011 |
| Fecha de actualización | Octubre 31, 2015 |