ATROFIA MUSCULAR.
Es una complicación rara y tardía, que aparece por inmovilización prolongada, neuropatías o rupturas musculares crónicas. (2, 6).
Se encuentra disminución en el tamaño del músculo, el cual aparece hiperintenso en T1, por infiltración grasa. En algunos casos leves, puede ayudar el estudio comparativo. (2). (Fig 29 A a F).

Fig 29 A. Atrofia Muscular.
A: RM coronal en STIR. Ruptura retraída del tendón supraespinoso.
B: RM sagital en T1.El músculo supraespinoso en atrófico y con alteración de su señal, por degeneración grasa, secundario a una ruptura de evolución crónica.

Fig 29 B. Atrofia Muscular.
A: RM axial en T1 y B: RM axial en T2. Gran masa parafaringea derecha, que corresponde a neurinoma. (Flechas gruesas). El compromiso del nervio hipogloso, ocasiona atrofia y degeneración grasa en el lado derecho de la lengua. (Flechas delgadas).

Fig 29 C. Atrofia Muscular.
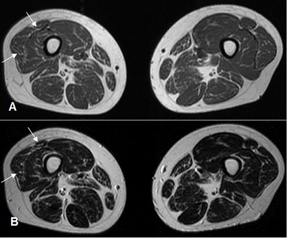
A: RM axial en T1 y B: RM axial en T2. Disminución del tamaño e incipiente degeneración grasa, en los componentes del cuadriceps derecho, con predominio en el recto intermediario y vasto externo.

Fig 29 D. Atrofia muscular.
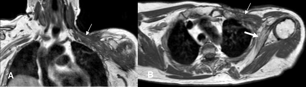
A: RM coronal en T1 y B: RM axial en T1. Paciente con tumor de mama metastásico supraclavicular, tratado con cirugía y radioterapia. Pérdida de la grasa y fibrosis, sobre las raíces nerviosas, (Flechas delgadas) que se asocia con atrofia del músculo subescapular, el cual es mas pequeño y con recambio graso. (Flecha gruesa).

Fig 29 E. Atrofia.
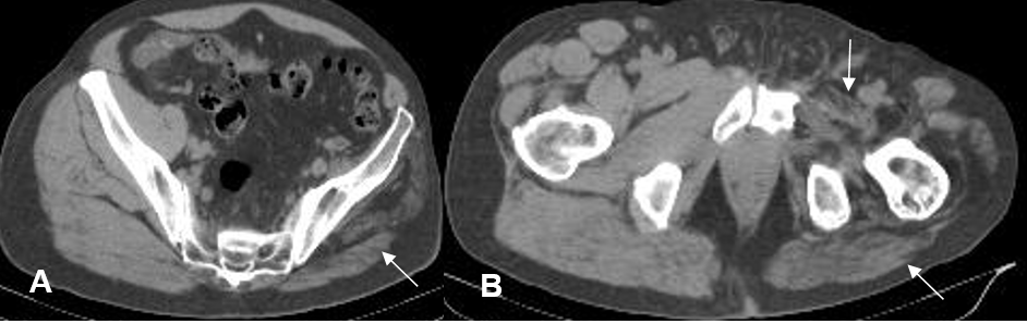
A y B: TAC axial. Pérdida de volumen en los músculos de la región glutea, aductores y rotadores de la cadera, por atrofia muscular.

Fig 29 F. Atrofia.
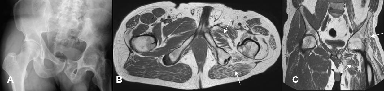
Rx AP. Luxación abandonada de la cadera izquierda. Igual paciente anterior, con atrofia muscular y reemplazo graso, por atrofia muscular.
| Fecha de creación | Marzo 1 de 2011 |
| Fecha de actualización | Julio 14, 2016 |