GENERALIDADES DEL TRAUMA.
Son lesiones ocasionadas por accidentes automovilísticos o caídas de altura. La mayoría ocurren en hombres, entre los 20 y 50 años. (1, 2).
Su importancia radica en la asociación con lesiones medulares, que pueden causar incapacidad permanente. (2).
El objetivo inicial de la radiología es detectar fracturas inestables, para inmovilizarlas y prevenir el desarrollo o progresión de lesiones neurológicas. (10, 37).
Se ha encontrado que hasta el 10% de los pacientes, desarrollan déficit neurológico en la sala de reanimación. (37).
Después de estabilizado e inmovilizado el paciente, se le evalúa clínicamente y se decide si requiere algún examen por imágenes. (37).
Los pacientes con disminución del estado de conciencia deben permanecer con el collar, hasta que puedan cooperar, para hacer un adecuado examen neurológico. (37).
Tienen alto riesgo de lesión los pacientes con cualquier tipo de trauma cerrado, accidente automotor, inconcientes o con rigidez de nuca. (38).
Existe una alta correlación entre la aparición de síntomas y las fracturas vertebrales, por lo que los pacientes concientes y sin dolor, tienen muy poca probabilidad de sufrir una lesión. (38).
El trauma cervical es mas frecuente que el dorsolumbar. (39).
Aunque Denis definió el concepto de las 3 columnas para el trauma toracolumbar, se ha utilizado también en el cervical. (7). El cuerpo vertebral es dividido en columnas así: (39). (Fig 159).

Fig 158. 3 columnas de Denis.
A: TAC axial y B: TAC reconstrucción sagital. Columna anterior (Rojo), columna media (Azul) y columna posterior (Verde).
Se define la inestabilidad anatómica, cuando hay compromiso de 2 o mas columnas. (39). El compromiso de la columna media, es el mas importante predictor de inestabilidad en esta clasificación. (7). (Fig 159 a 163).

Fig 159. Fractura estable.
A: Rx lateral, B: TAC reconstrucción sagital y C: TAC axial. Fractura en la parte anterosuperior del cuerpo vertebral, con compromiso solo de la columna anterior.

Fig 160. Fractura estable.
TAC axial. Fractura en la parte posterior del cuerpo, que corresponde a la columna media. (Flecha delgada). Igualmente hay fractura de la apófisis transversa, con compromiso del canal de la arteria vertebral. (Flecha gruesa).

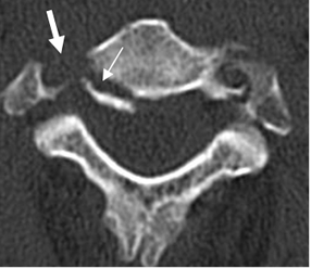
Fig 161. Fractura estable.
A: TAC axial y B: TAC reconstrucción sagital. Fractura no desplazada de ambas láminas vertebrales, por lesión estable.

Fig 162. Fractura inestable.
A y B: TAC axial y C: TAC reconstrucción sagital. Fractura conminuta en el cuerpo vertebral, con compromiso de la columna anterior (Flecha delgada), media (Flecha gruesa) y posterior (Punta de flecha), lo que la define como radiológicamente inestable. Se aprecia fragmento retropulsado y desplazamiento anterior de la apófisis espinosa, dentro del canal.

Fig 163. Fractura inestable.
A: TAC reconstrucción sagital, B: TAC axial y C: TM axial en T2. Fractura inestable con lesión de la columna anterior y media y fragmento retropulsado. (Flecha gruesa).
| Fecha de creación | Marzo 1 de 2011 |
| Fecha de actualización | Septiembre 29, 2011 |