NODULOS DE SMORL.
La migración superior o inferior del material del disco por un defecto en la placa terminal, produce una hernia intravertebral o nódulo de Smorl. (22).
Existen muchas controversias en cuanto a su importancia clínica, ya que son frecuentes en pacientes asintomáticos. Los que realzan con el contraste, son mas frecuentes en pacientes con dolor de espalda. (27).
Hay variaciones normales en la forma de los contornos de la placa terminal, que puede ser cóncava, plana o convexa y deben diferenciarse de los nódulos de Smorl. (27).
En las diferentes modalidades se aprecia como una indentación en la placa terminal, de bordes escleróticos, asociados o no a espondilosis y otros cambios degenerativos vertebrales. (27). (Fig 114 y 115).
La mayoría se localiza entre los cuerpos de T7 y L2, en la parte posterior y tienen predominio por la placa inferior. (27).

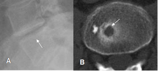
Fig 114. Nódulo de smorl.
A: Rx lateral. Irregularidad en la placa terminal superior.
B: TAC axial. Defecto de bordes escleróticos en la placa terminal, que corresponde a nódulo de smorl.

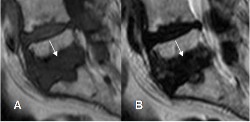
Fig 115. Nódulo de smorl.
A: RM axial en T1y B: RM sagital en T1. Defectos de bordes escleróticos en las placas terminales, por nódulos de smorl.
CAMBIOS MODIC.
Los cambios en los discos intervertebrales se asocian con alteraciones en la medula ósea de las placas terminales, clasificadas según Modic en: (20).

Fig 116. Cambios degenerativos Modic tipo I.
A: RM sagital en T1 y B: RM sagital en T2. Cambios degenerativos en las placas terminales, hipointensos en T1 e hiperintensos en T2.

Fig 117. Cambios degenerativos Modic tipo II.
A: RM sagital en T1 y B: RM sagital en T2. Cambios degenerativos en las placas terminales, hiperintensos en ambas secuencias.

Fig 118. Cambios degenerativos Modic tipo III.
Rx lateral. Esclerosis de las placas terminales por fibrosis, secundaria a cambios crónicos degenerativos.

Fig 119. Cambios degenerativos Modic tipo III.
A: RM sagital en T1 y B: RM sagital en T2. Cambios degenerativos en las placas terminales, hipointensos en ambas secuencias.
| Fecha de creación | Marzo 1 de 2011 |
| Fecha de actualización | Septiembre 7, 2013 |