COMPLICACIONES NO MECANICAS.
Hematomas:
Ocurren en el PostQx inmediato y su drenaje es una urgencia, porque puede causar déficit neurológico. (30). (Fig 129A, 129B y 129C).

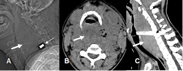
Fig 129A. Hematoma postquirúrgico.
A: Rx lateral, B: TAC axial y C: TAC reconstrucción sagital. PostQx de prótesis de disco, en el espacio C5-C6. (Flecha delgada). Formación de colección prevertebral, que desplaza y comprime la vía aérea. (Flecha gruesa).

Fig 129B. Compresión postQx.
A: RM sagital en T1, B: RM sagital en T2 y C: RM sagital en STIR. PostxQx de laminectomía y fijación posterior. El paciente evoluciona con paraparesia y se encuentran cambios inflamatorios y colecciones de tejidos blandos. (Flechas delgadas). El canal medular está ocupado por imagen hipointensa en todas las secuencias (Flechas gruesas),
encontrándose un hematoma en la revisión Qx.

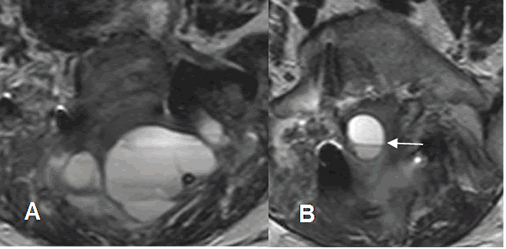
Fig 129C. Compresión postQx.
A y B: RM axial en T2. Igual paciente anterior. Colección de tejidos blandos en A y dentro del canal en B, la cual presenta nivel líquido/líquido, por hematomas PostQx.
Infección:
Se puede desarrollar hasta 2 años después de la intervención. La de tejidos superficiales, se manifiesta mas temprano con eritema, dolor y supuración.
Con la RM se aprecia colección líquida y realce del contraste en los tejidos blandos. Puede existir un tracto de fistulización y empiemas epidurales. (30). (Fig 130).

Fig 130. Infección postQx.
A: RM axial y B: RM sagital en T2. Cambios postQx, con colección hiperintensa en los tejidos blandos.
C: RM sagital en T1 y D: RM sagital en T1 con contraste. Cambios inflamatorios de tejidos blandos, hipointensos y que realzan con el contraste (Flecha delgada). La colección no realza y corresponde a absceso. (Flecha gruesa).
Espondilodisquitis:
Son mas difíciles de sospechar. Sus características y hallazgos son descritos en la patología infecciosa de este capítulo.
Aracnoiditis:
Produce dolor y síntomas neurológicos tardíos. Se manifiesta como irregularidad en la distribución de las raíces, con realce del contraste. (30).
| Fecha de creación | Marzo 1 de 2011 |
| Fecha de actualización | Septiembre 29, 2011 |