ARTROPATIAS.
La articulación de la cadera puede estar afectada por cualquiera de tipo de artropatía.
Sus cambios se discutirán mejor en el capitulo dedicado a este grupo de enfermedades, pero se muestran algunos ejemplos.
Aspectos claves a tener en cuenta:

Fig 145. Artropatía degenerativa.
A: Rx AP. Cambios degenerativos con disminución asimétrica del espacio articular, esclerosis y formación de osteofitos. Alteración femoral por pinzamiento mixto.
B: y C: TAC reconstrucción coronal. Presencia de osteofitos en A y quistes subcondrales en B.

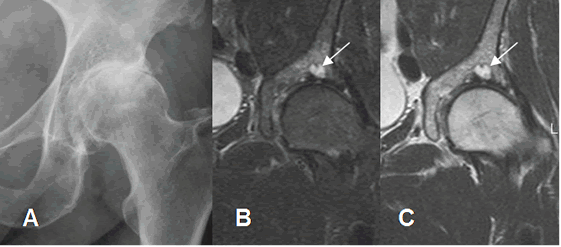
Fig 146. Artropatía degenerativa.
A: Rx AP. Cambios degenerativos con disminución y esclerosis del espacio articular. Alteración femoral, por pinzamiento tipo cam.
B: RM coronal en STIR y C: RM coronal en T2. Quiste subcondral en el acetábulo y osteítis asociada.
Fig 147. Artropatía reumática.
A: Rx AP. Disminución simétrica del espacio articular derecho, con osteopenia y sin presencia de osteofitos. En el lado izquierdo se colocó prótesis bipolar, por los severos cambios articulares.

Fig 142. Artritis infecciosa.
A: Rx AP. Desplazamiento lateral del cojinete graso glúteo, que hace sospechar derrame articular.
B: RM coronal y C: RM axial en STIR. Se confirma el derrame articular, por artritis infecciosa.

Fig 143. Artritis infecciosa.
A: RM coronal en T1. Destrucción de la cabeza femoral y derrame articular, por artritis infecciosa.
B: RM axial en T1 simple y C: RM axial en T1 con contraste. Proliferación sinovial, que realza con el contraste (Flechas).
| Fecha de creación | Marzo 1 de 2011 |
| Fecha de actualización | Septiembre 24, 2011 |