SINOVITIS VILLONODULAR PIGMENTARIA.
La SVNP es una alteración neoplásica benigna, donde se produce proliferación de la sinovial, de causa desconocida. (13).
Puede comprometer las articulaciones, bursas y vainas musculares y aparece en los adultos entre la 3º y 4º décadas. (5).
El principal síntoma de la SVNP es el dolor y la limitación funcional. (13).
Esta patología puede ser difusa o localizada. La localizada corresponde al tumor de células gigantes, que afecta principalmente los dedos de las manos y los pies.
La forma difusa ataca la sinovial de las articulaciones y las bursas, siendo la articulación patelofemoral la mas afectada. (13). (Fig 48).
La proliferación sinovial tiene tendencia a sangrar y se forman depósitos de hemosiderina. (14).

Fig 48. Distribución de la sinovitis villonodular pigmentaria.
La forma difusa es mas frecuente en la rodilla y la localizada en los dedos de las manos y los pies.
La Rx simple puede ser normal o mostrar edema de tejidos blandos. El espacio articular es normal o puede estar ensanchado. (5).
La forma localizada, produce masa excéntrica de tejidos blandos, que erosiona el hueso. (13).
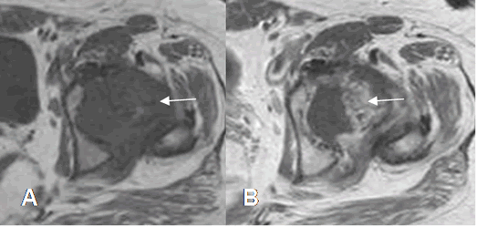
En la RM hay engrosamiento focal o difuso de la sinovial, la cual es hipointensa en T1 y T2. La hipointensidad en T2, es el resultado del efecto paramagnético ocasionado por presencia de hemosiderina y la fibrosis. Este hallazgo es mejor detectados en secuencias de GE y existe realce, luego de la administración de contraste. (5, 13). (Fig 49, 50, 51 y 52)
La presencia de áreas hiperintensas en T2, se asocia a cambios inflamatorios agudos. (14).

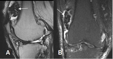
Fig 49. Sinovitis villonodular pigmentaria.
A: RM sagital en T2 y B: RM coronal en STIR. Signos de sinovitis, con proliferación sinovial suprapatelar. (Flechas). Las lesiones son hipointensas, por el contenido de hemosiderina y fibrosis.

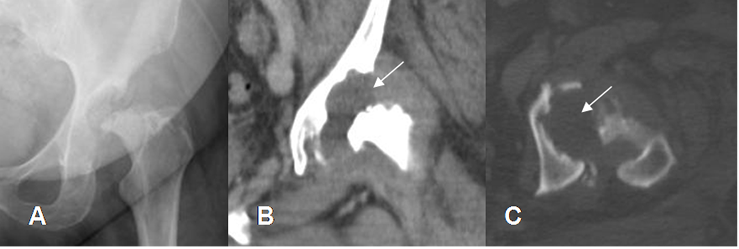
Fig 50. Sinovitis villonodular pigmentaria.
A: Rx cadera AP. Sinovitis avanzada, con reabsorción de la cabeza femoral y la cavidad acetabular.
B: TAC reconstrucción coronal y C: TAC axial. Destrucción de la cabeza femoral y la cavidad acetabular, con tejido blando que ocupa el espacio articular. Flechas).

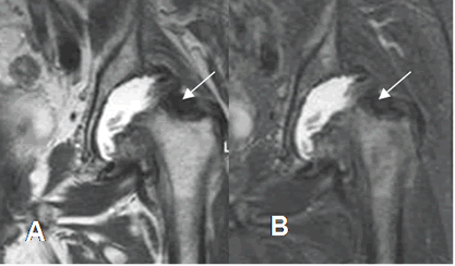
Fig 51. Sinovitis villonodular pigmentaria.
A: RM coronal en T2 y B: RM coronal en STIR. Derrame articular, con proliferación hipointensa de la sinovial, que rodean el cuello femoral. (Flechas).

| Fecha de creación | Marzo 1 de 2011 |
| Fecha de actualización | Septiembre 20, 2011 |