ARTROPATIA INFECCIOSA.
Aunque la clínica es la base del Dx, las diferentes modalidades sirven para guiar la artrocentesis y confirmarlo.
Los pacientes con enfermedades generalizadas o inmunodeprimidos (Diabetes, tumores, falla renal, etc.) y drogadictos endovenosos, tienen mas riesgo de desarrollar una infección, por la bacteremia continuada. (16).
Existen varias vías de infección: (16).
La rodilla es la articulación mas frecuentemente afectada, seguida por la cadera y el tobillo. (16).
Los pacientes generalmente consultan por dolor, eritema, edema y limitación funcional. En el Dx diferencial de una monoartropatía aguda, se debe considerar la artritis séptica y la artropatía por cristales, como principales causas. (16). (Fig 60).

Fig 60. Distribución de la artropatía infecciosa.
Afección monoarticular, de las articulaciones grandes de la extremidad inferior.
La infección ocasiona proliferación sinovial inicialmente y después destrucción del cartílago y el hueso. La destrucción del cartílago, es la causa de la disminución del espacio articular. (16). (Fig 61).

Fig 61. Diagrama de la artropatía infecciosa.
Destrucción del hueso y cartílago, en ambos lados de la articulación.
En las infecciones por TBC, la destrucción del cartílago es menor, porque produce menos enzimas proteolíticas. Produce erosión focalizada del cartílago y el hueso subcondral, con el espacio preservado y ausencia de edema óseo. (17).
La presencia de líquido en la articulación, aumenta la presión intracapsular. Este fenómeno disminuye el flujo vascular y predispone la aparición de osteonecrosis. (18).
En la fase aguda la Rx simple puede ser normal. También puede existir edema de tejidos blandos y derrame articular. En niños el estudio comparativo es de mucha utilidad. (16). (Fig 63 A, 63 B y 63 C).
Con la progresión, aparecen erosiones en los sitios de inserción capsular, irregularidad y adelgazamiento de la cortical, que son mejor vistos con TAC y RM. (16).
En las etapas subaguda y crónica, se produce erosión y destrucción ósea. Puede encontrarse también reacción perióstica en láminas. (16). (Fig 64 A, 64 B, 64 C y 64 D).
En la fase final hay destrucción articular, con anquilosis y edema de tejidos blandos. (16). (Fig 65 A y B).

Fig 63 A. Artritis séptica.
A: Rx lateral. Artritis infecciosa, como complicación de la reducción abierta, de una fractura de patela.
B: Ecografía, donde se confirma la presencia de derrame articular.

Fig 63 B. Artritis infecciosa.
A: TAC reconstrucción coronal. Aumento del espacio acromioclavicular, con prominencia en los tejidos blandos en la parte superior.
B: TAC reconstrucción coronal y C: TAC axial. Incipientes esrosiones óseas en la clavícula y el acromión, por artritis infecciosa.

Fig 63 C. Artritis séptica.
A: Rx pelvis AP. Desplazamiento del cojinete graso de la cadera, como signo de derrame articular. (Comparar con el contralateral).
B: RM coronal en STIR. Derrame articular, de donde se cultivó estafilococo aureus.

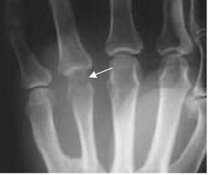
Fig 64 A. Artritis séptica.
Rx AP. Disminución del 4º espacio metacarpofalángico y pérdida en la nitidez de los contornos en la cabeza del metacarpiano, por artritis séptica.

Fig 64 B . Artritis séptica.
Rx AP. Artritis infecciosa del pulgar, con zonas de osteolisis en la base de la falange y la cabeza del metatarsiano. (Flechas). Hay edema asociado de los tejidos blandos.

Fig 64 C. Artritis séptica.
A: Rx AP. Lesión lítica en la parte distal del 3º metatarsiano, por osteomielitis.
B: Rx AP. Progresión de la destrucción ósea. Adicionalmente se identifica reacción perióstica asociada. (Flechas).
C: RM axial en T1 y B: RM axial en STIR. 3º metatarsiano hipointenso en T1 e hiperintenso en STIR, con destrucción de su cabeza, por osteomielitis. Hay extensión por contigüidad de los cambios inflamatorios a la cabeza del 2º metatarsiano (Flechas delgadas) y edema en los tejidos blandos adyacentes. (Flechas gruesas).
Fig 64 D. Artritis séptica.
A: Rx AP y B: Rx oblicua. Ausencia del 5º metatarsiano, por amputación previa. Lesiones líticas en la cuña lateral, el cuboides y la base del 4º metatarsiano, por osteomielitis. Existe aire en los tejidos blandos, por la formación de absceso. (Flechas gruesas).
C: RM coronal en STI, D: RM coronal en T1 simple y E: RM coronal en T1 con contraste.
Huesos del medio pie hipointensos en T1, hiperintensos en STIR y con realce del contraste. (Flechas delgadas). Adicionalmente hay pequeña colección de tejidos blandos, entre el 1º y 2º metatarsianos, sin realce. (Flecha gruesa).

Fig 65 A. Artritis séptica residual.
Rx AP. Disminución, irregularidad y esclerosis del espacio glenohumeral, como secuelas de artritis infecciosa.

Fig 65 B. Artritis séptica residual.
A: Rx AP y B: TAC axial. Cambios residuales en la cadera, luego de una artritis séptica. Hay remodelación de la cabeza femoral y la cavidad acetabular, con pérdida del espacio, esclerosis y erosión.
La infección por TBC es mas insidiosa, ocasionando mucha osteopenia y relativa conservación del espacio articular. Produce un patrón mas agresivo de destrucción ósea. (17).
Diferenciar entre artritis séptica y sinovitis transitoria en los niños, es difícil con la clínica y las ayudas diagnósticas comunes. La alteración en la SI de la medula ósea en la artritis del acetábulo o la cabeza femoral, que realzan con el contraste, permite hacer la diferenciación. La cantidad de líquido, los cambios inflamatorios en la sinovial y los tejidos blandos, no son útiles para hacer la distinción. (18).
La visualización de ulceras cutáneas por presión y fistulización en la RM, apoyan el Dx de artritis séptica. (16).
Una complicación frecuente de la artritis séptica, es la formación de abscesos en los tejidos blandos. Los piógenos tienen pared gruesa e irregular y los secundarios a TBC, muestran pared delgada y regular. (17). (Fig 66).

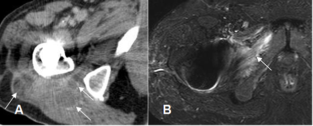
Fig 66. Artritis séptica.
A: TAC axial con contraste. Artritis como complicación de prótesis en la cabeza femoral. Inflamación de tejidos blandos, con incipiente formación de abscesos, cuyos bordes captan el contraste. (Flechas).
B: RM axial en STIR. Extensión de los cambios inflamatorios, hacia el músculo obturador externo.
| Fecha de creación | Marzo 1 de 2011 |
| Fecha de actualización | Marzo 17, 2016 |