GENERALIDADES.
Hay varias clasificaciones de las articulaciones. Una de ellas, se relaciona con el tipo de tejido de la zona articular y la divide en: (1). (Fig 1).

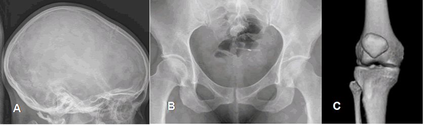
Fig 1. Tipos de articulaciones.
A: Suturas del cráneo, articulaciones fibrosas.
B: Sínfisis púbica, articulación cartilaginosa.
C: Caderas, articulaciones sinoviales.
Las articulaciones sinoviales permiten un amplio grado de movimiento. Las estructuras óseas que las conforman, están unidas por una cápsula fibrosa, reforzada por ligamentos. Los extremos de los huesos están recubiertos por cartílago y están separados por la cápsula articular, la cual está recubierta por una membrana sinovial.
La membrana sinovial produce el líquido, que lubrica la cápsula y aporta nutrientes.
El cartílago articular es de tipo hialino y sus principales funciones son disminuir el grado de roce, amortiguar los golpes, transmisión y distribución del peso.
El cartílago no tiene nervios, linfáticos, ni vasos sanguineos y se nutren a partir del líquido sinovial. (1) (Fig 2).

Fig 2. Diagrama de articulación normal.
Huesos separados por el espacio articular (Amarillo claro), que contiene líquido.
Cartílago articular (Flecha delgada) y membrana sinovial (Flecha gruesa).
Existen múltiples clasificaciones de las artropatías. Una de las mas usadas es la relacionada con la presencia del factor reumatoideo y se dividen en seropositivas y seronegativas. (1).
Las seronegativas son:
Integrar todas las características clínicas, su distribución en el esqueleto, la imagenología y las pruebas de laboratorio, ayudan a establecer el diagnóstico.
En todas las artropatías existe compromiso del cartílago articular y cambios inflamatorios de la sinovial, en grado variable.
| Fecha de creación | Marzo 1 de 2011 |
| Fecha de actualización | Septiembre 28, 2013 |