TRAUMA FACIAL.

Hay áreas de engrosamiento óseo en la cara que sirven de soporte a todas las estructuras y le dan la forma. (14). (Fig 208, 209 y 210).
Las fracturas faciales son frecuentes en los accidentes de tránsito, caídas y otros traumas directos y la TAC es la modalidad de elección para su valoración. (14).


Fig 208. Cara normal.
A: Rx Waters. Rebordes orbitarios nítidos y huesos malares íntegros. (Flechas).
B: TAC reconstrucción 3D. Huesos malares normales. Sutura cigomático-frontal. (Flecha delgada), cigomático-maxilar (Flecha gruesa) y cigomático-temporal. (Punta de flecha).


Fig 209. Orbita normal.
A y B: TAC axial. Piso y techo de las órbitas respectivamente.
C: TAC reconstrucción coronal. Rebordes orbitarios completos.


Fig 210. Orbita normal.
A: TAC axial y B: TAC reconstrucción coronal. Músculos recto interno (Flechas delgadas) y recto inferior (Flechas gruesas) normales. Ambos tienen forma ovalada.

Tipos de fracturas: (14).


Fig 211. Fractura naso-órbito-etmoidal.
TAC reconstrucción coronal. Estallido de la órbita derecha, con compromiso del borde medial. El recto interno está edematoso, pero no atrapado.


Fig 212. Fractura trimalar.
A y B: TAC axial. Fracturas en el piso y pared posterior del antro maxilar derecho.
Hay fractura cabalgada del arco cigomático del mismo lado.


Fig 213. Fractura trimalar.
A y B: TAC reconstrucción 3D. Fractura trimalar con lesión de la unión cigomático-maxilar (Flecha delgada), cigomático-frontal (Flecha gruesa) y cigomática-temporal (Punta de flecha).


Fig 214. Fractura del arco cigomático.
A y B: TAC axial. Fracturas del arco cigomático. Lineal en A y deprimida en B.
En ambos casos hay otras fracturas asociadas de los antros maxilares.


Fig 215 A. Fractura de órbita, sin atrapamiento muscular.
A y B: TAC reconstrucción coronal. Fracturas no deprimidas en el piso de la órbita y sin signos de atrapamiento muscular.


Fig 215 B. Fractura de órbita.
A: TAC coronal en ventana de tejido y B: TAC coronal en ventana de hueso.
Fractura deprimida en el piso de la órbita. Hay herniación de la grasa, pero el recto inferior mantiene su posición. (Flecha gruesa).


Fig 215 C. Fractura de órbita.
A: TAC axial y B: TAC reconstrucción coronal. Fractura en el borde interno de la órbita.
C: TAC axial en ventana de tejidos. Hay herniación de la grasa, pero permanece intacto el músculo recto interno.


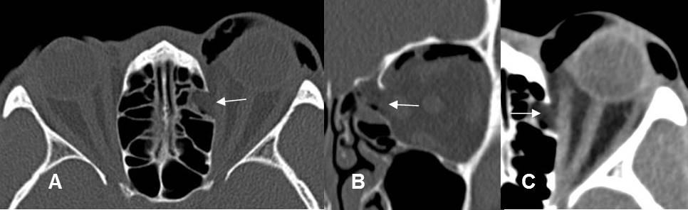
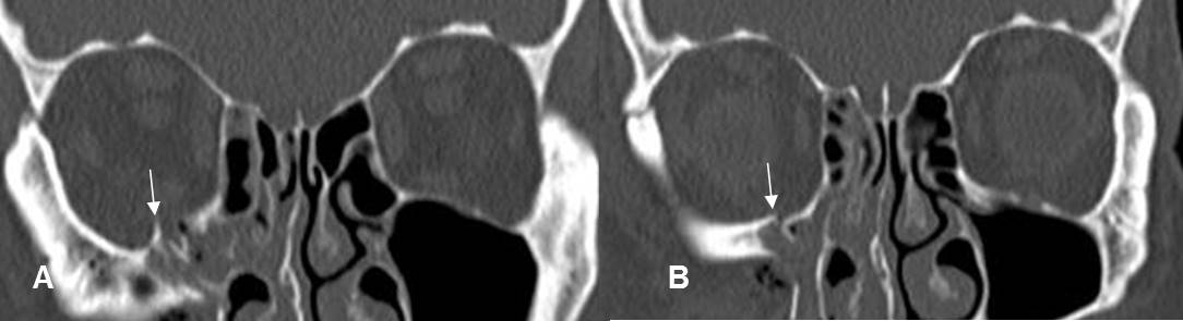
Fig 216. Fractura de órbita, con atrapamiento muscular.
A y B: TAC reconstrucción coronal. Fracturas en el piso de la órbita. Los músculos rectos inferiores están redondeados, por edema y desplazados inferiormente, signos de atrapamiento.


Fig 217. Fractura de órbita.
TAC reconstrucción coronal. Fractura no desplazada en el borde lateral de la órbita.


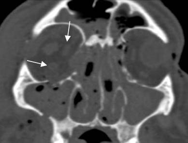
Fig 218 A. Fractura de órbita.
TAC reconstrucción coronal. Estallido facial con múltiples fracturas y compromiso del borde interno de la órbita derecha. Los rectos interno e inferior están desplazados y redondeados por edema, pero no atrapados.


Fig 218 B. Fractura de órbita.
TAC axial. Fractura en el borde medial de la órbita con edema del músculo recto interno. Está desplazado medialmente y se debe sospechar su atrapamiento. (Flecha delgada). Adicionalmente hay cambios inflamatorios en el espacio intraconal e irregularidad del nervio óptico. (Flecha gruesa).


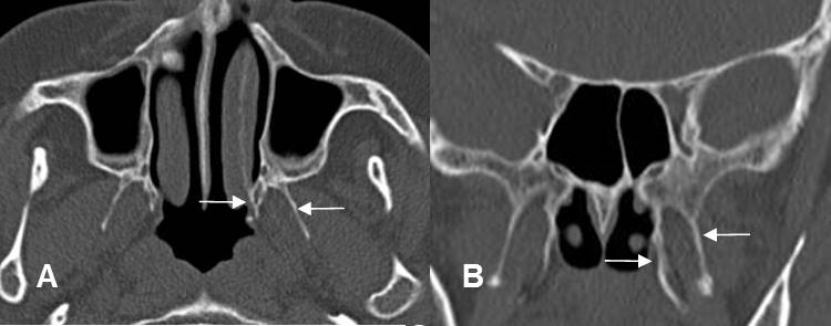
Fig 219. Láminas pterigoideas.
A: TAC axial y B: TAC reconstrucción coronal. Láminas pterigoideas  normales.


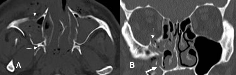
Fig  220. Fractura de láminas pterigoideas.
A: TAC axial y B: TAC reconstrucción coronal. Fracturas de las láminas pterigoideas, hallazgo indispensable para hace el diagnóstico de fractura de Le Fort.

Tipos de lesiones: Las fracturas pueden ser asimétricas en los 2 lados de la cara. (14, 15).


Fig 221. Diagrama de Lefort I.
Fractura horizontal del hueso maxilar.


Fig 222. Lefort I.
A y B: TAC reconstrucción coronal. Fractura lineal de la pirámide nasal izquierda en A y deprimida de la derecha en B. Adicionalmente hay múltiples fracturas orbitarias.


Fig 223. Diagrama de Lefort II.
Fractura en forma  piramidal, con ápex en la sutura nasofrontal y base en los dientes. Compromete el borde interno, piso de la órbita y el hueso malar.


Fig 224. Lefort II.
A: TAC axial. Fractura de la lámina pterigoidea y el piso de la órbita derecha.
B: TAC reconstrucción coronal. Fractura no desplazada de la órbita. Adicionalmente hay fractura de la pirámide nasal derecha. (Flecha gruesa).


Fig 225. Diagrama de Lefort III.
Fractura donde se separa la cara del cráneo. Compromete la sutura nasofrontal, borde interno y externo de la órbita y el arco cigomático.


Fig 226. Lefort III.
A: TAC axial y B: TAC reconstrucción coronal. Múltiples fracturas en los antros maxilares y los rebordes orbitarios. En el lado derecho hay compromiso del piso de la órbita y el arco cigomático. (Flecha gruesa).


Fig 227. Lefort III.
A: Rx lateral, B: TAC axial y C: TAC reconstrucción coronal. Severo estallido facial con fracturas deprimidas de la parte anterior de la cara y Lefort III bilateral.

 

 

Fecha de creación Marzo 1 de 2011
Fecha de actualización Enero 26, 2015