DESLIZAMIENTO EPIFISIARIO.

La mayoría de las fracturas en niños afectan las placas de crecimiento. Son mas comunes en la placa distal de la tibia y el radio. No se debe confundir la línea de fractura radiolúcida, con el cartílago de crecimiento. En los casos dudosos se recomienda las proyecciones comparativas. (1, 3).Salter y Harris las clasificaron en: (1, 3, 6, 7).


Fig 68. Diagrama de lesión Salter tipo I.
Separación de las placas de crecimiento.


Fig 68 A. Salter tipo I.
A: Rx AP y B: Rx oblicua. Pérdida de la alineación entre la metafisis y la epifisis, por deslizamiento epifisiario tipo I.

Fig 69. Salter tipo I.
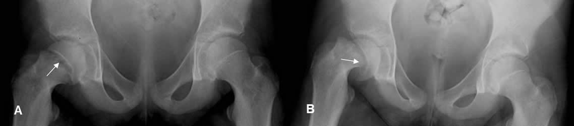
A: Rx AP. Aumento del espacio en la placa de crecimiento derecha. Comparar con el lado contralateral.
B: Rx AP de control. Desplazamiento medial del núcleo de crecimiento, en relación con el cuello femoral.


Fig 70. Salter tipo I.
A: Rx AP y B: Rx lateral. Aumento del espacio metafisoepifisiario radial.
C: RM coronal en STIR. Edema óseo del radio y cúbito distal, por contusión. Líquido sobre la placa de crecimiento, por deslizamiento epifisiario tipo I. (Flecha negra).


Fig 71. Salter tipo I.
Rx AP. Esclerosis e irregularidad en las placas de crecimiento del peroné, por cicatrización de lesión Salter tipo I.


Fig 72. Diagrama de lesión Salter tipo II.
Fractura de la placa de crecimiento, que se extiende a la metáfisis.


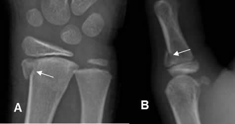
Fig 73 A. Salter tipo II.
A: Rx AP y B: Rx lateral. Fractura lineal y en sentido vertical en la metáfisis del radio.


Fig 73 B. Salter tipo II.
TAC reconstrucción sagital. Fractura en la placa de crecimiento, con extensión a la metáfisis tibial.


Fig 73 C. Salter tipo II.
A: RM axial en T1, B: RM sagital en T1 y C: RM sagital en STRI. Fractura no desplazada y en sentido oblicuo, sobre la metafisis tibial, por deslizamiento epifisiario G II.


Fig 74. Diagrama de lesión Salter tipo III.
Fractura de la placa de crecimiento, con extensión a la epífisis.


Fig 74 A. Salter tipo III.
A y B: Rx AP. Fracturas verticales en las epífisis del radio y el dedo, por lesiones tipo III.


Fig 75. Salter tipo III.
A: TAC reconstrucción sagital y B: TAC reconstrucción coronal. Fracturas verticales en las epífisis de la tibia, por lesiones tipo III.


Fig 76. Diagrama de lesión Salter tipo IV.
Fractura de la placa de crecimiento, que compromete la metáfisis y la epífisis.


Fig 76 A. Salter tipo IV.
A: Rx AP y B: Rx lateral. Fractura impactada y con angulación anterior, en el radio distal, con compromiso de la epífisis y metáfisis.


Fig 77. Salter tipo IV.
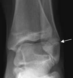
A: Rx AP y B: TAC reconstrucción sagital. Fracturas oblicuas con compromiso de las epífisis y metáfisis del tobillo y la rodilla.


Fig 78. Diagrama de lesión Salter tipo V.
Colapso de la placa de crecimiento.


Fig 78 A. Salter tipo V.
A: Rx AP y B: Rx lateral. Disminución del espacio en la placa de crecimiento y esclerosis asociada, en el seguimiento de un deslizamiento epifisiario tipo V.

 

 

Fecha de creación Marzo 1 de 2011
Fecha de actualización Enero 14, 2015